种植牙怎么样?
有疑问?点击咨询专家 全国免费咨询电话 020-6226 6666
       有很多人知道种植牙是修复牙齿缺失的很好的方式,种植牙是牙齿缺失患者的一个希望,因为种植牙有着其他牙齿修复方式无可媲美的优点,那么种植牙是怎么样的呢?请看下面详细介绍。
 
  穗华口腔专家说,种植牙与传统的牙齿修复方法不一样,它需要分两次进行,种植牙是由位于牙槽骨内的种植体与暴露于牙龈外面的烤瓷牙两部分组成。第一部分是在将缺损牙齿拔掉之后,进行种植体,起着人工牙根以及人工附着器的作用,包括基台基桩,起到稳固烤瓷牙的作用。第二部分是进行烤瓷牙的镶嵌。在种植体种入牙槽骨3-6个月后,使种植体与牙槽骨牢固生长结合在一起,然后再在种植体上进行烤瓷牙修复,从而达到牙齿修复的目的。
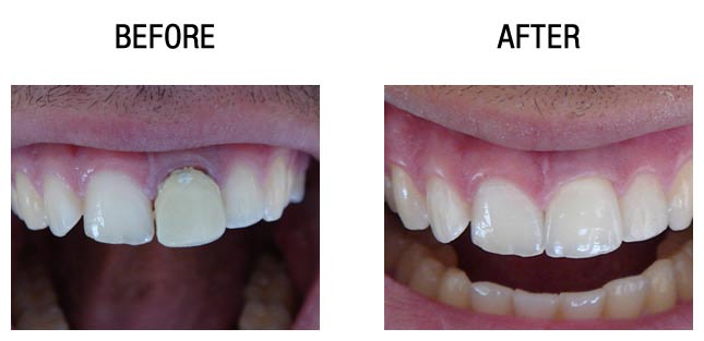
种植牙前后对比
 
  种植牙可以帮助牙齿修复患者恢复正常咀嚼,因为咀嚼时牙合力通过种植体直接传输到牙槽骨内或者牙槽骨上,力量很快被分散到较大的支持颌骨内。因而能够承受比较大的牙齿咀嚼合力,具有很好的支持作用。种植牙比自然牙更加坚固,不会出现崩瓷或者脱落现象,但是种植牙是以牙槽骨为依托的,只要牙槽骨没有完全萎缩,种植牙的寿命基本是永久的。
 
  技术推荐--3D靶向种植牙技术
 
  3D靶向种植牙技术,是暨南大学多位种植名家多年积累的义齿修复技术和经验,与一系列国际前沿齿科设备结合的产物,应用意大利NewTom曲面断层扫描CBCT技术、德国WIELAND CAD/CAM计算机辅助设计与制作技术、美国Ambulanc笑气镇静镇痛系统、丹麦3shape 3D打印技术及3shape TRIOS激光扫描重建技术等,从5个方面打造穗华种植牙“40年预期留存率”超过90%的“长寿基因”!
 
  1、定位更精准:CT3D颌面扫描、CAD设计方案,实现了种植体精准定位。
 
  2、种植更安全:利用激光扫描和3D打印技术制作种植导板(用于精确指导种植体位置和方向的模板),医生在导板辅助下轻松手术,杜绝失误。
 
  3、笑气镇痛更舒适:Ambulanc是目前欧美牙医的镇静镇痛技术,能让牙科恐惧症、晕血症和儿童患者轻松愉悦地“享受”牙科治疗。
 
  4、治好牙周更长寿:种植牙患者大多有牙周病,而不治牙周病,种植牙迟早脱落。穗华口腔拥有华南领先的牙周科,跨科会诊确保高质量种植牙。
 
  5、重建咬合更和谐:种植牙与邻牙不紧密易塞牙,与对牙不协调咀嚼无力。穗华口腔异常重视种植牙的咬合关系,力求让每一颗种植牙都与患者口腔和谐相处。
 
  广州穗华口腔,您美牙护牙放心之选!
 
  穗华口腔医院是拥有人文底蕴的暨南大学附属口腔医院临床教学医院,是广东省卫生厅批准成立的口腔专科医院,是集口腔诊疗、教学和科研为一体的现代化口腔综合医院,是您看牙的放心信赖之选!为了您的健康,请不要再以工作忙为借口拖延治疗。如果您还有其他问题或需要帮助,可以点击在线咨询,还可以拔打全国免费热线:020-62266666。百度100遍,不如咨询1次。

穗华口腔专家团队

>>more

  • 赖仁发 主任医师

    穗华口腔医院总院长
    暨南大学附属第一医院口腔医学中心主任导师
    国家教育部高等学校口腔医学专业教学指导委员会委员
    国家教育部医学教育题库(口腔医学)建设指导委员会委员

  • 冯智强 主任医师

    穗华口腔医院种植技术院长
    广东省口腔医师协会理事
    广东省医学教育协会口腔种植学专业委员会委员
    广东省整形美容口腔医学会委员
    广东省口腔颌面外科专业委员会委员
    广东省颞下颌关节病学及牙合学专业委员会委员
    广东省口腔医学会医院感染控制与管理专业委员会委员
    《实用医学杂志》审稿专家
    美国牙科新技术学院(AIIDE)中国区高级讲师
    2017年度广东省十大健康风尚人物

  • 鲍洪源 副主任医师

    穗华口腔海珠中大院区院长
    原中国航空364医院口腔科主任
    德国口腔颌面外科协会(MKG)种植硕士
    韩国Demtium种植牙系统千例种植认证医师
    北京大学种植中心访问专家
    湖北省种植专委会委员
    湖北省口腔全科专委委员
    中华口腔医学会种植专委会委员

  • 熊小明 副主任医师

    穗华口腔越秀院区院长
    中华口腔医学会会员
    全国口腔名家联盟成员
    广东省口腔种植学专业委员会委员
    德国(DGI)口腔种植协会会员
    美国口腔正畸学会(AAO)会员
    美国哥伦比亚大学口腔种植访问学者

  • 刘志昕 主治医师

    穗华口腔医院种植技术院长
    穗华口腔5G+数字化精准种植技术组讲师
    国际种植牙医师学会(ICOI)会员
    北京大学口腔医学院进修医生
    上海交通大学附属第九人民医院种植科进修医生

  • 贺文鹏 副主任医师

    穗华口腔医院正颌中心主任
    穗华口腔医院资深种植专家
    暨南大学附属第一医院口腔外科主任
    暨南大学口腔医学院口外教研室副主任
    多家种植体品牌公司培训讲师
    德国口腔颌面外科协会-种植精英计划-种植硕士
    国家执业医师资深考官
    广州实力中青年医生
    暨南大学附属第一医院手术突出贡献奖获得者
    中华口腔医学会创伤与正颌专委会青年委员
    广东省医学会颌面头颈外科学分会青委副主任委员
    广东省医院协会口腔管理分会委员
    广东省临床医学学会牙种植专委会委员
    广东省口腔医学会口腔颌面外科专业委员会青年委员
    广东省整形美容协会口腔整形美容分会委员
    广东省粤港澳合作促进会医药卫生大健康委员会口腔健康联盟委员
    广东省医学教育协会口腔种植专业委员会委员
    广东省口腔医师协会理事

  • 孔卫东 主任医师

    穗华口腔医院副院长
    穗华口腔医院集团正畸医疗总监
    eBrace个性化舌侧矫治器主要发明人
    中华口腔医学会口腔正畸专业委员会5、6、7届委员
    《中华口腔正畸学杂志》编委
    广东省口腔医学会口腔正畸专业委员会常委
    《暨南大学学报(医学版)》特邀编委
    美国口腔正畸学会(AAO)会员
    世界正畸联盟(WFO)会员
    广东省3D打印技术联盟理事会理事
    广东省整形美容协会理事会理事
    省部级企业科技特派员
    入选2020年度《岭南名医录》
    被评为2021年度“羊城好医生”

  • 肖世芳 副主任医师

    穗华口腔荔湾院区医疗院长
    中国共产党广州穗华口腔门诊部有限公司支部委员会书记
    穗华口腔健康正畸讲师
    中华口腔医学会正畸专业委员会会员
    四川省口腔医学会正畸专业委员会委员
    暨南大学口腔医学院研究生实践指导教师
    美国隐适美隐形矫治全球认证医师
    美国SPARK精靓隐形矫治全球认证医师
    美国Insignia精准矫治全球认证医师
    时代天使隐形矫治认证医师
    医疗健康管理硕士

  • 谢晓聪 主治医师

    穗华口腔荔湾院区资深正畸医师
    穗华口腔荔湾院区修复医师
    时代天使隐形矫正认证医师
    毕业于广州医科大学

  • 田慧娟 主治医师

    穗华口腔白云梅花园院区正畸科资深医师
    中华口腔医学会正畸专业委员会专科会员
    时代天使儿童颜面管理认证医师

  • 张涛 副主任医师

    穗华口腔番禺万博院区院长
    中华口腔医学会口腔正畸专业委员会专科委员
    中华口腔医学会口腔颌面创伤及正颌专业委员
    美国隐适美隐形矫治全球认证黑钻医师
    美国Spark精靓隐形矫治全球认证医师
    eBrace专利矫正认证医师

  • 文夫 主治医师

    穗华口腔医院正畸科隐形矫治技术主任
    穗华口腔天河院区资深正畸医师
    中华口腔医学会会员
    中华口腔医学会正畸专业委员会专科会员
    广东省口腔医学会会员
    美国隐适美全球认证专家
    美国隐适美隐形矫治讲师
    时代天使高端隐形矫治指定授权医师
    时代天使高端隐形矫治培训专家
    第18届雅加达亚运会中国代表团口腔保障营专家
    丽绮美数字化颜面管理认证医师

  • 黄海霞 主治医师

    穗华口腔海珠中大院区医疗副院长
    中华口腔医学会正畸专业委员会专科会员(COS)
    中华口腔医学会儿童口腔医学专业委员会专科会员
    中华口腔医学会口腔美学专业委员会专科会员
    卡瓦Ormco数字化产品中国区认证讲师
    美国隐适美隐形矫治认证医师
    时代天使隐形矫治认证医师、认证讲师
    时代天使儿童颜面管理认证医师
    eBrace个性化舌侧矫治认证医师
    美国spark精靓隐形矫治全球认证医师
    丽绮美数字化颜面管理认证医师

  • 张建 主治医师

    穗华口腔医院正畸科主治医师
    中华口腔医学会正畸专业委员会专科会员
    eBrace个性化舌侧矫治认证医师
    美国Spark隐形矫正认证医师
    美国隐适美隐形矫治认证医师
    美国Insignia个性化唇侧矫正认证医师
    时代天使隐形矫治认证医师
    丽绮美数字化颜面管理认证医师

  • 刘华 副主任医师

    穗华口腔医院白云梅花园院区医疗副院长
    湖北中医药大学副教授
    国家医疗卫生专家库专家

  • 谢晓聪 主治医师

    穗华口腔荔湾院区资深正畸医师
    穗华口腔荔湾院区修复医师
    时代天使隐形矫正认证医师
    毕业于广州医科大学

  • 陈波 主治医师

    穗华口腔医院综合科资深医师
    中华口腔医学会会员

  • 陈天宇 主治医师

    穗华口腔黄埔院区医疗副院长
    穗华口腔黄埔院区资深修复医师
    中山大学光华口腔医学院口腔修复学硕士
    中华口腔医学会口腔修复学学会会员

  • 甄亚辉 主诊医师

    穗华口腔医院综合科医师
    中华口腔医学会会员

  • 唐果 主治医师

    穗华口腔医院综合科医师
    中华口腔医学会会员

  • 刘华 副主任医师

    穗华口腔医院白云梅花园院区医疗副院长
    湖北中医药大学副教授
    国家医疗卫生专家库专家

  • 何豫 主治医师

    穗华口腔黄埔院区综合科专家
    毕业于中山大学光华口腔医学院
    资深口腔全科医师、儿童口腔专科医师

  • 赵丽雪 主治医师

    穗华口腔医院综合科医师
    中华口腔医学会会员

  • 许玉琴 主治医师

    穗华口腔海珠中大院区全科医师
    中华口腔医学会会员
    毕业于南华大学

版权:广州穗华口腔医院
备案号:粤ICP备15046903号
医疗广告审查证明文号:粤(A)广(2024)第255号