牙齿拥挤给生活带来了很多不便,令我们在和别人聊天时感到很自卑,不敢侃侃而谈,微笑时“笑不露齿”,不敢在人前暴露,让牙齿拥挤患者非常生活得非常不自在。那么牙齿拥挤需要矫正吗?下文请大家听听穗华口腔专家的说法。

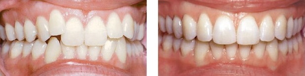
牙齿拥挤矫正前后对比
穗华口腔专家介绍说,牙齿拥挤不止是影响美观这一点,它还有其它很多坏处:
1、形成卫生死角:牙齿拥挤就会给细菌提供很好的避难场所,刷牙时根本就刷不到这些地方,让细菌能够得以生存,继续侵蚀我们的牙齿,极易出现蛀牙和牙龈出血的情况。
2、影响心理健康:如果是儿童或青少年出现了牙齿拥挤的情况,那么他们就会觉得自己与别人不同,自己本身存在着缺陷,他们会将自己看低,不敢交朋友以及与其它人在一起玩耍,整个人会变的非常的孤僻,形成心理疾病。
3、造成面部变形:牙齿拥挤会使整个牙颌骨都受到影响,在生长的过程中容易导致面部器官出现变形的情况,并且时间越长就会越明显,整个面部协调感都遭到破坏。
牙齿拥挤的治疗属于牙齿正畸,不同的医疗机构会有不同的正畸方法。广州穗华口腔为您推荐的正畸方法有美国隐适美矫正技术、时代天使矫正技术、自锁陶瓷托槽校正技术和自锁金属矫正技术。
技术介绍:穗华口腔隐适美矫正是常见错牙合畸形、多学科联合矫治及正颌等疾病的治疗方法,较传统矫牙,具有矫治器隐形、佩戴舒适和复诊次数少等优势,在功能性、舒适度和美观度有提升。Invisalign隐适美牙套上有螺纹图案,具有哑光效果,牙齿即使在戴上牙套后也不会被发觉,实现真正的“隐形”效果。
隐适美矫正治疗方案包括一系列无托槽隐形矫治器,厚度小于1mm,如同隐形眼镜,每套矫治器均量齿定做,每两周进行更换。随着矫治器的更换,牙齿逐步移动,直至矫正到方案所设计的理想位置。
温馨提醒:口腔问题不只影响我们的容貌,更有可能影响全身健康。患有口腔疾病的朋友切不可忽视口腔问题。为了您和家人的健康,一旦发现口腔问题请到专业的口腔医院就医。