长期的牙齿缺失,牙床发生萎缩、吸收,导致牙床的高度降低,传统戴假牙戴不稳,特别是下颌义齿,一张口就脱落。对于多数牙缺失的患者,使用人工种植牙修复技术,根据颌骨情况,植入数枚或十几枚植体,即可满意地解决义齿的稳定问题,恢复和提高咀嚼功能。那么,多数牙缺失种植需要多少钱?

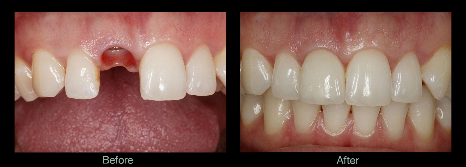
种植牙前后对比图
多数牙缺失种植的价格主要和以下几方面有关:
一、种植牙口腔医院的选择:不同的口腔医院收费的标准是不一样的,专业的种植牙机构里面的医生技术好,种植牙的质量高,价格就要贵。有些小诊所虽然说也可以进行种植牙而且价格较低,但是这都是没有保障的。?
二、种植牙数量的多少:种植牙数量的多少是影响种植牙价格的主要因素,种植牙的价格是以颗为计算的,有的患者需要种的牙齿较多自然更加差距就更大了。
三、种植牙系统的选择:种植牙系统的选择是影响种植牙价格的关键因素,品牌不同,他们的价格就有明显的差异。
广大牙齿缺失患者在关注牙齿种植费用的同时,还要多关注牙齿种植的方法。穗华口腔推出3D靶向种植牙技术,为各位患者带来福音。
3D靶向种植牙技术,是暨南大学多位种植名家多年积累的义齿修复技术和经验,与一系列国际前沿齿科设备结合的产物,应用意大利NewTom曲面断层扫描CBCT技术、德国WIELAND CAD/CAM计算机辅助设计与制作技术、美国Ambulanc笑气镇静镇痛系统、丹麦3shape 3D打印技术及3shape TRIOS激光扫描重建技术等,从5个方面打造穗华种植牙“40年预期留存率”超过90%的“长寿基因”!
温馨提醒:牙齿缺失问题不只影响我们的容貌,更有可能影响全身健康。患有口腔疾病的朋友切不可忽视口腔问题。为了您和家人的健康,一旦发现口腔问题请到专业的口腔医院就医。