种植牙具有其他牙齿修复方式不可媲美的优点,效果非常理想,有不少朋友会问:种植牙能用一辈子吗?接下来就让我们跟随穗华口腔专家一起去了解一下吧。

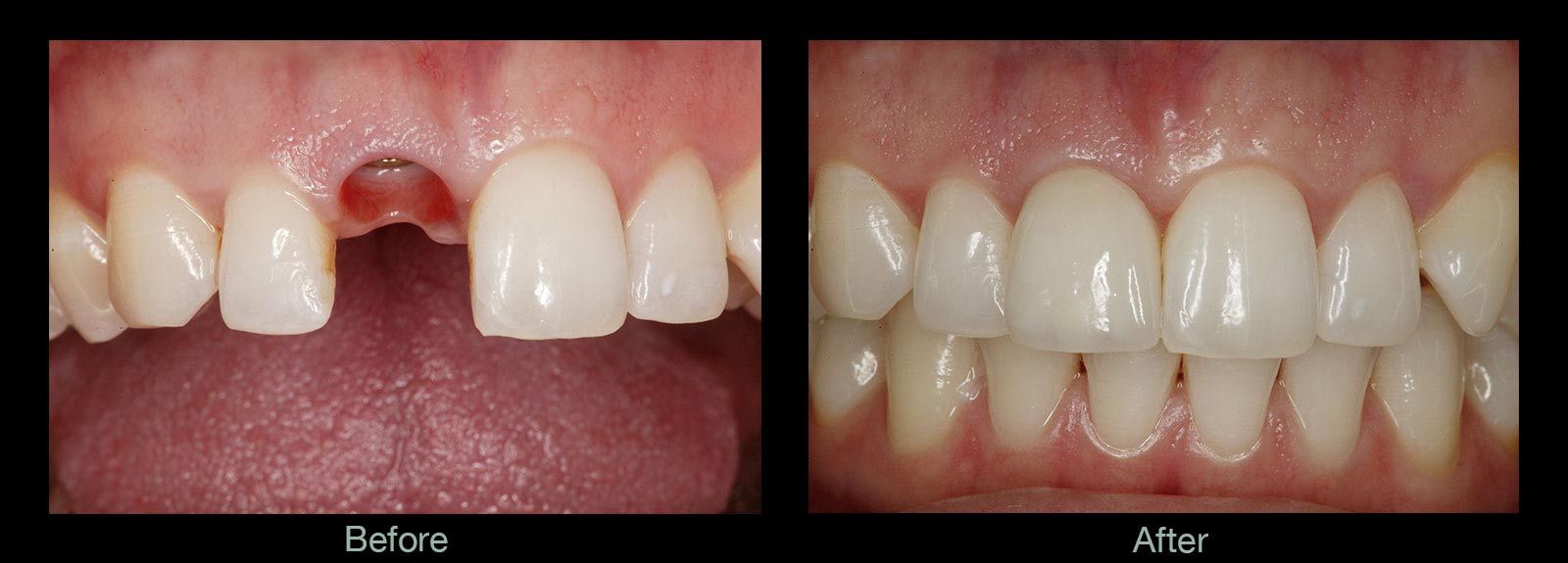
种植牙前后对比
穗华口腔种植牙专家指出:这个问题并不好回答,因为每个人的情况不同,种植牙使用的时间自然也会所有不同。有的患者种植牙可以使用长达40年的时间,也有的患者两三年种植牙就出现问题了。种植牙能否长久使用与您对它的爱护程度有很大的关系。
和我们的真牙一样,种植牙越精心保养护理,使用的就会越长久。接受种植牙的患者,应严格按照医师的指导去做,包括自身清洁维护和定期的专业去除牙石及菌斑的复诊维护等,这样才能使种植牙使用更有效更长久。
穗华口腔是一家专门做种植牙的医院,因为专业,所以可以信赖更多。从您选择穗华的那一刻起,您将臻享到优质的国际口腔诊疗服务。
穗华口腔将为您提供高新技术、高端会所式客户管理、全程一对一私人牙医陪护,让治疗过程变成您无与伦比的舒适享受。
种植牙技术推荐:3D靶向种植牙技术
3D靶向种植牙技术,是暨南大学多位种植名家多年积累的义齿修复技术和经验,与一系列国际前沿齿科设备结合的产物,应用意大利NewTom曲面断层扫描CBCT技术、德国WIELAND CAD/CAM计算机辅助设计与制作技术、美国Ambulanc笑气镇静镇痛系统、丹麦3shape 3D打印技术及3shape TRIOS激光扫描重建技术等,从5个方面打造穗华种植牙“40年预期留存率”超过90%的“长寿基因”!
广州穗华口腔,您美牙护牙放心之选!
穗华口腔医院是拥有百年人文底蕴的暨南大学附属口腔医院临床教学医院,是广东省卫生厅批准成立的口腔专科医院,是集口腔诊疗、教学和科研为一体的现代化口腔综合医院,是您看牙的放心信赖之选!为了您的健康,请不要再以工作忙为借口拖延治疗。如果您还有其他问题或需要帮助,可以点击在线咨询,还可以拔打全国免费热线:020—62266666。百度100遍,不如咨询1次。