牙齿拥挤非常影响面部美观,还会使患者出现咀嚼不便等问题,矫正牙齿拥挤非常有必要。那么矫正牙齿拥挤需要多少钱?下文我们来听下穗华口腔专家的详细分析。
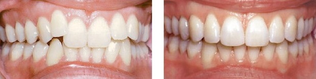
牙齿拥挤矫正前后对比
矫正牙齿拥挤价格受以下因素的影响:
患者的牙齿情况影响价格:每个患者牙齿矫正难易复杂程度不同,年龄不同,年龄小的青少年正处于发育期,矫正起来更容易,所以比成人的矫正价格要低一些。
矫正的技术方法影响价格:矫正的方法有多种:普通金属托槽牙齿矫正,无托槽隐形矫正,隐形矫治术等,隐形矫治的美观度很高,采用透明材质,无需再粘结托槽和钢丝,患者可以自行取戴,更容易保持清洁。成年人对美观要求更高一些。
选择的医院影响价格:医院采用的医疗设备不同,有的设备技术比较先进化;还有医生情况不同,治疗医生的专业程度,专家在经验和技术上要比普通医生更好一些。
穗华口腔正畸科室先后引进了美国、德国、日本、丹麦等先进设备,医师运用计算机测量、辅助分析及矫治技术,评估不同患者的牙齿与面颌部情况,量身设计个性化的口腔正畸治疗方案,科学的治疗方案,更使正畸时间缩短至传统正畸技术时间的1/3。其中,个性化舌侧矫治技术、成人高难度病例矫治已成为中心的特色及强项,每年诊治省内外大量转诊正畸疑难病例,是华南地区处理疑难病例及失败后再处理病例的重点专科。
以上就是有关矫正牙齿拥挤需要多少钱的相关介绍,如果您还有什么问题,可以点击我们的在线咨询来进行提问,或者拨打免费热线:020-62266666,我们将真诚为您解答。