种植牙具有其他牙齿修复方式无法媲美的优势,稳固牢靠、舒适美观和安全持久,能替代真牙修复牙齿缺失,重建咀嚼功能,提高人类生存质量,因此种植牙被誉为“人类的第三副牙齿”,给牙齿缺失患者带来了福音。那么牙齿种植具体好在哪里?下文请穗华口腔专家为大家具体介绍。

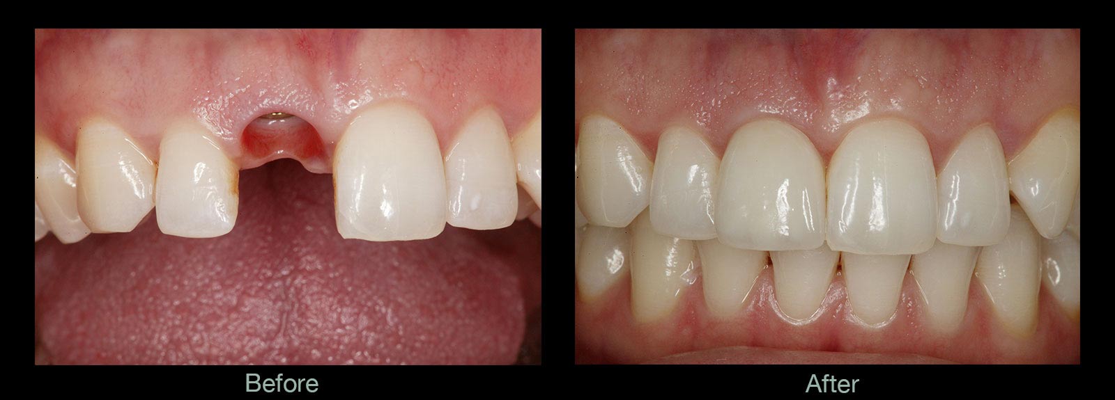
种植牙前后对比
穗华口腔专家介绍牙齿种植的四大好处:
1、稳固牢靠种植牙和真牙一样包括牙根和牙冠两个部分,种植体(即人工牙根)用生物相容性极好的纯钛金属制作而成,与牙槽骨通过骨结合连接在一起,十分坚固,可象真牙一样扎根在患者的口腔里,根深蒂固,所以稳固。
2、原理科学天然牙将口腔内的咀嚼压力通过牙根传递至牙槽骨,而种植牙将咀嚼压力通过人工牙根(种植体)传递至牙槽骨,生物力学原理相同,故能承受强大的力量,咀嚼效率较传统假牙有大幅度提高。
3、保护牙槽骨种植牙对整个牙槽骨起到很好的保护作用,人的牙齿和大树一样,大树根深蒂固才能枝繁叶茂,牙齿缺失后牙槽骨就像水土流失,牙槽骨会出现不同程度的废用性萎缩和吸收。种植牙的人工牙根深植于牙槽骨中,因此能有效防止牙槽骨萎缩和牙槽骨吸收。
4、保护邻牙。种植牙在缺失牙的牙槽骨内植入人工牙根,并在人工牙根上安装上烤瓷牙冠,有自己独立的牙根固位,不需要依附邻牙来固位,对健康的邻牙不仅没有任何伤害,还可以防止由于缺牙导致邻牙的移位或牙齿松动。
穗华口腔是您爱牙的放心之选
穗华口腔医院是拥有人文底蕴的暨南大学附属口腔医院临床教学医院,是广东省卫生厅批准成立的口腔专科医院,是集口腔诊疗、教学和科研为一体的现代化口腔综合医院,承诺永远以顾客的牙齿健康为首要因素,确保给顾客高性价比的口腔治疗,如果您还有什么问题或需要帮助,可在线咨询或拨打热线:020-62266666,将您的问题告诉在线医生,专家将耐心为您分析解答,“百度100遍,不如咨询一次”。