不少孩子在牙齿生长发育阶段都会出现各种畸形,此时的牙齿畸形,会影响到以后恒牙的生长发育,还会影响到以后脸部的定型,所以给孩子戴牙套是必须的,那么孩子戴牙套需要多少钱?下文请穗华口腔专家为您解答。

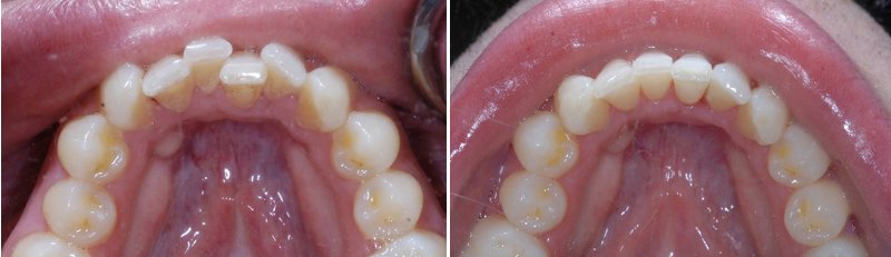
儿童牙齿矫正前后对比
配合程度影响牙齿矫正的价格,在患者的治疗过程中合作的程度直接影响了小孩戴牙套疗程的长短,如果配合的好,牙齿矫正治疗的时间就会比较短,当然牙齿矫正费用就比较低。
患者的治疗目的影响牙齿矫正的价格,这一点就限定了牙齿矫正治疗的难度和疗程的问题,通常牙齿矫正的费用与难度及疗程是成正比的。
患者年龄影响牙齿矫正的价格,小孩在合适的年龄整牙容易,那么价格也会相应降低。
小孩牙齿的畸形程度影响牙齿矫正的价格,我们都知道牙齿畸形的程度较轻时,其治疗的难度就会比较小,因此在进行牙齿矫正时的价格也会相对较低一些。相反的话牙齿畸形程度比较严重时,治疗的难度也会相对加大,因此在进行牙齿矫正时的价格也会相对的提高一些。
牙齿矫正的方式影响牙齿矫正的价格,通常在选择不同的牙齿矫正方法,价格就会不一样,牙齿矫正医生一般会根据患者的自身情况来进行选择适合自己的牙齿矫正方法,然后再结合患者自身的经济情况为每位患者选择合适费用的矫正器,目前贵的牙齿矫正器就是隐形无托槽矫正方法,但是这种方法技术含量较高,效果也不是很好,透明的矫正器会让旁人毫无察觉,尤其是适合对美观要求比较高的患者。
穗华口腔是您爱牙的放心之选
穗华口腔医院是拥有人文底蕴的暨南大学附属口腔医院临床教学医院,是广东省卫生厅批准成立的口腔专科医院,是集口腔诊疗、教学和科研为一体的现代化口腔综合医院,承诺永远以顾客的牙齿健康为首要因素,确保给顾客高性价比的口腔治疗,如果您还有什么问题或需要帮助,可在线咨询或拨打热线:020-62266666,将您的问题告诉在线医生,专家将耐心为您分析解答,“百度100遍,不如咨询一次”。