为什么有的人笑起来那么好看,而有的人即使明眸皓齿笑起来也没有什么特别之处,为什么会这样呢?研究表明微笑时上前牙完全暴露,同时牙龈组织大约暴露1 mm,牙龈组织的暴露不超过2~3 mm会较美观。我们都知道,笑容是一个人的魅力和健康的体现,没有了笑容一切都失色,仿生美容冠的设计为我们的笑容带来了美丽的资本。

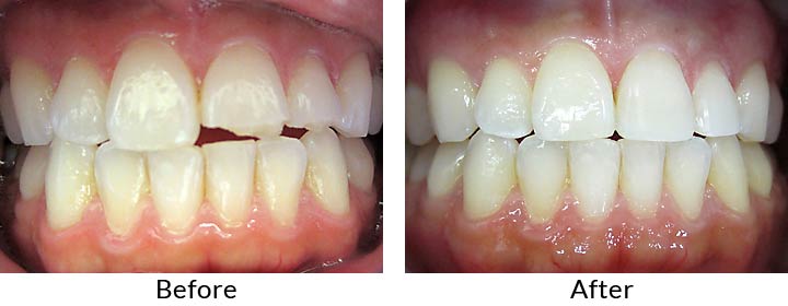
美容冠修复前后对比
仿生美容冠美貌线设计:嘴唇与鼻尖和颏前点的理想连接线(E线)的位置关系被用来作为决定面型的一个常用参考点,一般比较好看的脸型,上下唇应该在E-Line上或其内侧。
仿生美容冠鼻唇角设计:鼻唇角是由鼻下方两条线的交角形成的,一条是鼻底的切线,另一条是上唇外线的切线。东方人的鼻唇角一般为90~100度。
仿生美容冠笑线设计:笑线可分成三种类型,图片中由上到下分别为 『低位笑线』、『中位笑线』、『高位笑线』 笑线由上排牙齿的末端所组成,一般来说如果笑线能符合下嘴唇的唇线就会被认定为完美的微笑比例。 如此说来拥有高位笑线就等于拥有动人微笑。
仿生美容冠标准比例:意大利数学家毕达哥拉斯计算出牙齿的黄金比例,也就是宽度与长度比为1比1.618,以单颗牙齿为例,宽度与长度之比应为1比1.618,同样的,上排齿列各个牙齿宽度好符合黄金比例,也就是以侧门牙宽度为1,中间门牙的宽度是1.618。
穗华口腔医院仿生美容修复美齿优势 牙齿低调奢华出来
世界先进高科技标准:美牙冠融合100年欧美齿科技术与50年韩式整形技艺,领先国内技术10年,拥有韩国专业精细化美牙。
现代化智能舒适美牙:具有先进造美理念的资深牙科美容大师定制个性化美牙设计,采全程独享定制级方案,真正实现尊贵的、舒适高体验的美牙服务。
明星级奢品定制美牙:为顾客定制奢华精品般的美牙流程,依托国际高端牙齿美学方案,更有资深形象设计分析师和医师团队专属定制和执行个性化牙齿美容设计。
尖端国际化管理理念:秉承"国际品质,真诚服务“的尖端国际化服务理念,力求让每位顾客如皇室般尊贵享受,更有与时俱进的国际先端一体化管理体系。
穗华口腔是您爱牙的放心之选
穗华口腔医院是拥有人文底蕴的暨南大学附属口腔医院临床教学医院,是广东省卫生厅批准成立的口腔专科医院,是集口腔诊疗、教学和科研为一体的现代化口腔综合医院,承诺永远以顾客的牙齿健康为首要因素,确保给顾客高性价比的口腔治疗,如果您还有什么问题或需要帮助,可在线咨询或拨打热线:020-62266666,将您的问题告诉在线医生,专家将耐心为您分析解答,“百度100遍,不如咨询一次”。