随着人们生活水平的不断提高,牙齿也越来越得到人们的关注,很多人都想通过矫正的方式来修复自己的牙齿,提升自己的形象,那么,牙列不齐可以怎么矫正?接下来请穗华口腔专家来详细进行介绍。

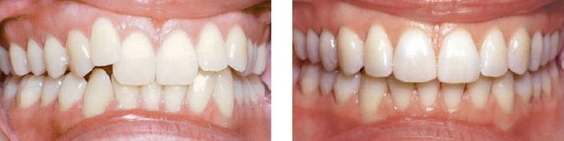
牙齿拥挤矫正前后对比
牙齿不齐可以怎么矫正?
1、普通正畸:就是我们通常见到的“铁齿钢牙”的矫治方法,用粘结剂将矫正装置粘固于牙齿上,患者不能自行摘戴,只能由进行装拆、调整加力。拆除矫治器以后还要戴一段时间保持器,以巩固正畸成果,防止复发。
技术推荐----eBrace舌侧隐形矫正技术
eBrace舌侧隐形矫正技术是由穗华口腔正畸名家孔卫东博士领衔的医疗团队发明的牙齿矫正技术。区别于传统的唇侧矫治技术,eBrace(易美)?将矫正器全部藏在牙齿的背面,能让您在旁人毫无察觉中完成牙齿矫正。
1、技术先进。采用计算机辅助设计制造CAD/CAM和数字投影快速成型DLP等先进技术。
2、完全隐形。托槽在牙齿背面,既保护了隐私,因无遮挡,也便于医生观察牙齿移动情况。
3、避免口腔损伤。避免唇侧牙釉质受酸蚀剂作用脱钙;避免运动中矫正器对唇部的损伤。
4、量齿定做。根据牙齿终理想状态而设计的各阶段的个性化弓丝和托槽。
2、隐形正畸:隐形牙套是一种透明隐形矫正器,是借助新电脑科技制造出的透明矫正器为患者量身定做,运用3D影像科技来设计整个疗程计划。这种矫治器没有常规矫治所采用的托槽和钢丝,可自行摘戴。满足了您既想做牙齿矫正又怕影响美观的需求,让您在旁人不知不觉中完成矫治。
技术推荐:美国隐适美隐形矫正
Invisalign隐适美是“高分子隐形无托槽正畸技术”的代表产品,被包括哈佛大学和纽约大学在内的口腔和正畸医学院列为授课内容,是风靡高端人群的牙齿矫正技术,患者满意度超过96%!
1、隐形时尚。矫正器近乎透明,远看隐形看不见,近看很个性很时尚。
2、轻松自如。矫正器可自行摘戴,饭前取下饭后戴上,不影响饮食;刷牙前取下刷牙后戴上,不影响清洁牙齿。
3、舒适无刺激。医用高分子材料制作,不含金属,不会刺激牙齿和牙床,矫牙过程很舒适。
4、安全可靠。所有矫正器均在美国设计制造,全部原装进口。
3、美容修复矫正:美容修复牙齿矫正技术主要是采用不同的技术手段、不同的材料改变牙齿颜色、牙齿形态、牙齿排列,不但使牙齿更美观,而且使牙齿与脸型、唇形、肤色更协调,使人更完美。美容修复牙齿矫正技术的特点明显,主要是美牙不拔牙,无痛苦,时间短,牙齿坚固,多年后牙龈不会出现黑线等优点,远远由于烤瓷牙技术。
技术推荐:美容修复矫正
美容修复矫正,是对传统烤瓷牙的一种延伸与突破,与传统烤瓷牙修复相比,具有极高的生物相容性,在保障牙齿功能的同时,更强调牙齿的美容效果。应用新进科技的自然仿生美容修复技术,只需7天就可以见证完美蜕变,是目前国际先进的牙齿美容技术。
美容修复的优势:
逼真美观、坚固耐磨;生物相容性好,不刺激口腔组织,易清洁;耐磨耗,不易破损;不用摘戴,适应快,口腔内异物感小;咀嚼功能恢复好;时间短,一般就诊两次,一个星期的时间即可完成。
穗华口腔是您爱牙的放心之选
穗华口腔医院是拥有人文底蕴的暨南大学附属口腔医院临床教学医院,是广东省卫生厅批准成立的口腔专科医院,是集口腔诊疗、教学和科研为一体的现代化口腔综合医院,承诺永远以顾客的牙齿健康为必要因素,确保给顾客高性价比的口腔治疗,如果您还有什么问题或需要帮助,可在线咨询或拨打热线:020-62266666,将您的问题告诉在线医生,专家将耐心为您分析解答,“百度100遍,不如咨询一次”。