四环素牙让人的牙齿显得黄而暗淡,好像牙齿生病了一样,非常影响美观,四环素牙是指四环素族药物引起的着色牙,属于口腔科疾病,病因是在牙的发育矿化期服用四环素族药物,可被结合到牙组织内,使牙着色,四环素还可在母体通过胎盘引起乳牙着色。

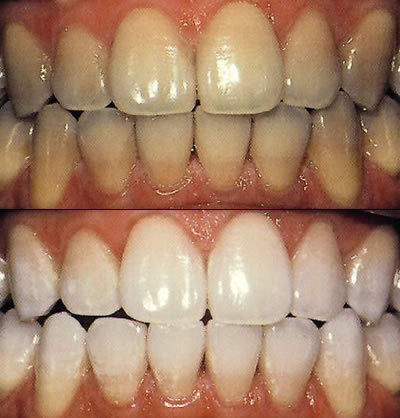
四环素牙治疗前后对比
穗华口腔专家介绍:四环素牙常见于70、80后之间,一般是指牙齿在发育时,牙釉质和牙本质在一层基底膜的两侧同时开始形成,若此时服用了四环素类药物,药物进入体内后就在牙本质和牙釉质中形成黄色层,引起的着色牙,属于口腔科的疾病。因此,专家提醒,需要美白四环素牙的朋友,一定要选择正规的口腔科医院就诊。
解决四环素牙,独特的方法 穗华口腔推荐——Beyond冷光美白技术 40分钟 提升色阶美白无痕
全新一代美式蓝光美白技术是当前国内外理想的牙齿美白的方法:不仅可以去除牙齿表面的色素沉积,同时可进入牙齿深层达到脱色的效果,因而冷光牙齿美白的效果非常的自然。但是,美白牙齿后注意事项如果做不好,就会影响整个治疗的效果。
穗华口腔冷光美白技术采用恒温纳米光,是现阶段的牙齿美白技术。它在冷光美白的基础上,氧化氢加硝酸钾和氟化物结合的美白方式,打破了传统冷光美白的局限性,克服了传统冷光美白时牙齿酸痛,美白后牙龈过敏的窘境,具有以下四大优点:
1、即刻美白。40分钟左右美白,缩短治疗时间,减少患者张口时长,美白程度迅速提高5-14个色阶。
2、健康环保。操作过程不接触牙龈,完全避免了对牙神经伤害,同时对牙结构不会造成任何伤害。
3、自然美观。通过氟化剂保护牙齿,分解深层牙色素。让牙齿自然洁白,富光泽、有透明感。
4、持久美白。氟化剂促使牙釉质新生而形成对牙齿的保护,美白效果更加明显,更持久。
在此告诉大家一些预防四环素牙的方法:
四环素牙的预防则很简单,只要妊娠或哺乳期的妇女、8岁以下的儿童不使用四环素类药物就可以了。此外,四环素对光非常敏感,日光和紫外线都可使其变色,所以随着时间的推移,牙齿变色会逐渐加深。
穗华口腔是您爱牙的放心之选
穗华口腔医院是拥有百年人文底蕴的暨南大学附属口腔医院临床教学医院,是广东省卫生厅批准成立的口腔专科医院,是集口腔诊疗、教学和科研为一体的现代化口腔综合医院,承诺永远以顾客的牙齿健康为必要因素,确保给顾客高性价比的口腔治疗,如果您还有什么问题或需要帮助,可在线咨询或拨打热线:020-62266666,将您的问题告诉在线医生,专家不仅能耐心为您分析解答,还能提供预约挂号的服务,让你就诊更方便快捷,“百度100遍,不如咨询一次”。