牙齿美容修复对于爱美人士来说是很熟悉的了,这是目前很受欢迎的牙齿美容方法,许多的明星大腕都喜欢用牙齿美容方法来矫正牙齿,那么牙齿美容修复为什么能风靡全球呢?下文给大家做出介绍。

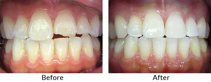
牙齿美容修复前后对比
现在先来说说明星们所热衷的牙齿美容修复方法:
金泰熙:前的金泰熙嘴部略微前突,牙齿也不整齐。美容修复矫正后,明显变得洁白整齐,遮盖了此前的美中不足,可以说变得完美无缺。
小S:曾出书自曝自己是钢牙妹,成名后请国际着名美牙医生做了美容修复,现在面对镜头已经非常自信了。
金喜善:金喜善刚出道时前排牙齿有点外露,所以很少露齿微笑,现在笑得多灿烂。
穗华口腔美容修复牙齿:
穗华口腔美容修复牙齿技术是流行于欧美、日韩的一种新兴牙齿美容技术,在传统烤瓷牙的基础上强调牙齿的美容效果,对错位牙、畸形牙的临床冠部分施以专业手段,后用美容修复加以修复。具有美牙不拔牙,无痛苦,时间短,牙齿坚固,多年后牙龈不会出现黑线等优点,从而达到终生有保障的美牙效果。
适合做牙齿美容修复的人很多,常见的是:暴牙、虎牙、老鼠牙(牙小)、地包天、前牙拥挤、前牙稀疏、牙列不齐、牙齿缺损、烤瓷失败、错过矫正黄金期的成年人以及重度四环素牙等。
美容修复的独特优势:
色泽逼真:穗华口腔专家根据就诊者不同的牙色,采用德国VITA3D 比色技术,精确对比牙齿明度、饱和度和色泽。通过29个牙色层次化类比,确定出合适你的美容修复牙色,使成形后的牙齿达到完美的色调统一,天然逼真,常年保持美丽天然的光泽。
美观大方:穗华口腔“美容修复”牙齿美容采用3D数码定位技术,对求美者牙齿的自然形态和颜色全面分析,根据牙冠、牙根、牙颈三部分形态,再结合专业牙齿美容医师的检测,制定出适合你的牙齿美容方案,成形后的牙齿美观大方,拥有明星般的漂亮牙齿不是梦。
坚固持久:美容修复以很小的牙齿损伤来专业程度的恢复美观效果。牙齿只需要修整很少的牙齿组织(约0.5mm),甚至先进的材料可以考虑不修正“。有效避免细菌造成的快速龋齿,经过超高温数码科技处理的美容修复就像为牙齿穿上了坚固的“隔离衣”,使龋害“无孔可入”。数据分析显示,经“美容修复”美容后的牙齿至少可以承受100公斤拉力!可保持终生不脱落。
高效快速:求美者从美牙咨询到美牙结束只需短短的7天时间,并7天时间中只需来院两次。第一次,专家将根据求美者情况形成美容修复设计方案,并制作出修复模型。第二次,经专业加工厂根据求美者“美容修复”模型,施以多重高科技设备处理后的美容修复,让求美者正式接受美容修复牙齿,方便快捷,大大提高了美牙的效率。
安全无痛:穗华口腔采用独特的牙齿修复技术,不仅仅在全过程中不会有痛楚,还尽大地降低酸涩感,对牙龈牙体均无伤害;缩短治疗时间,减少张口时长,舒适无痛,在轻松的音乐中完成。美牙不需动及牙根,更不会拔牙,彻底解除你爱美又怕痛的顾虑。
综上所述,相信你已经明白了美容修复为何能风靡全球,在这里温馨提醒您美容修复牙齿一定要选择专业的正规医院才能够保证好的效果,穗华口腔医院牙齿美容技术和设备先进,关于美容修复的更多信息,你可以点击咨询在线专家了解详细信息。