我们的牙齿一般不会掉那么多,有时因为不小心或是意外,造成单颗牙缺失,有的人觉得不就是掉一颗牙吗嘛,有什么关系呢,又不影响吃饭,殊不知单颗牙缺失却能造成了很严重后果,容易引起口腔疾病。对于单颗牙齿缺失,应该及时修复,避免单颗牙缺失的危害。那么单颗牙缺失怎么办呢?今天下文我们就请穗华口腔专家来为我们介绍下。

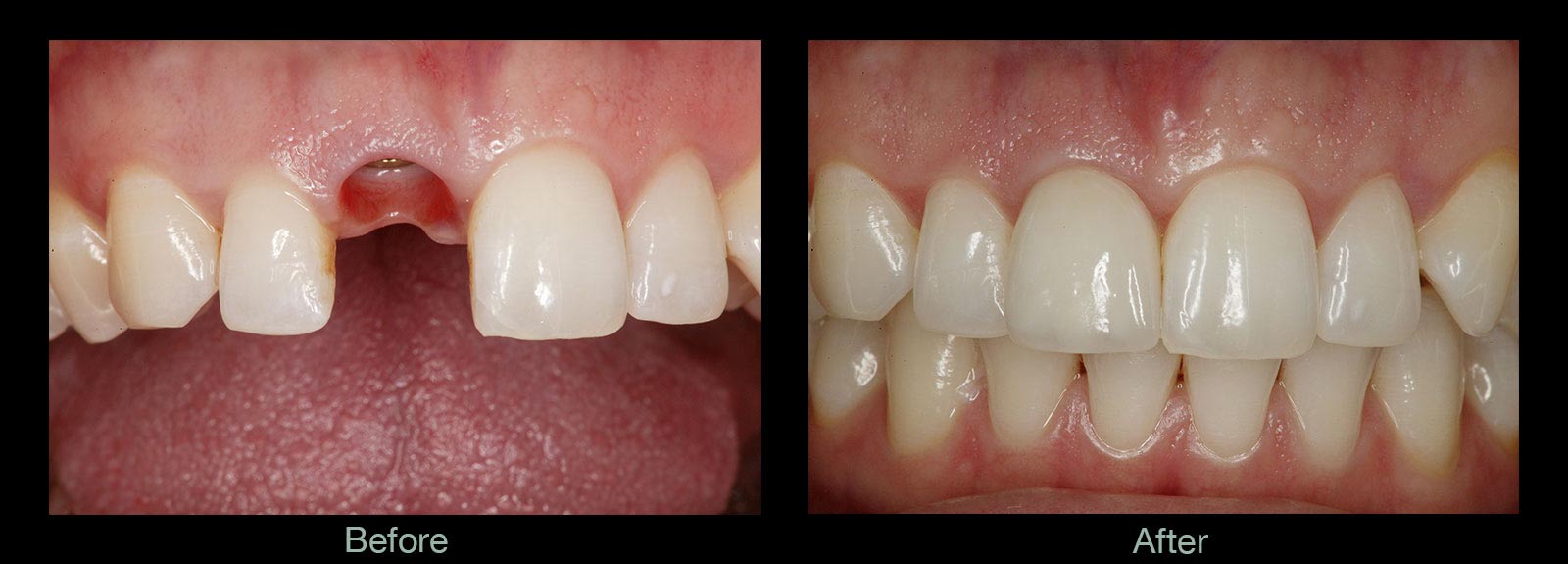
种植牙前后对比
穗华口腔专家介绍:对于单颗牙缺失,有一种好的解决方法就是种植牙了。种植牙外观副真,接受种植者说话时无须担心种植的牙齿是否下滑,并且消除了可移动假牙带来的不适。另外,与牙齿搭桥技术不同,种植体不需要减少其他牙齿,这样就使得缺失牙齿附近的好牙没有被改变,这有助于保障长期口腔健康。千里之堤毁于蚁穴,一个牙齿缺失可能会对全口牙齿造成损伤,所以牙齿缺失的朋友要尽快到专业的口腔医疗机构治疗。
穗华口腔是您爱牙的放心之选
穗华口腔医院是拥有百年人文底蕴的暨南大学附属口腔医院临床教学医院,是广东省卫生厅批准成立的口腔专科医院,是集口腔诊疗、教学和科研为一体的现代化口腔综合医院,承诺永远以顾客的牙齿健康为必要因素,确保给顾客高性价比的口腔治疗,如果您还有什么问题或需要帮助,可在线咨询或拨打热线:020-62266666,将您的问题告诉在线医生,专家不仅能耐心为您分析解答,还能提供预约挂号的服务,让你就诊更方便快捷,“百度100遍,不如咨询一次”。