现代种植牙技术已经越来越成熟,接受住了时间的考验,受到牙科医师的推崇和广大缺牙患者的青睐,种植牙拥有独立的牙根,不需要磨牙,安全无痛,对牙齿完全没有伤害。做种植牙应该选择正规的牙科诊所,需要有资质的牙科医师才能操作,如果先择不正规的牙科诊所,可能会给牙齿带来以下的危害:

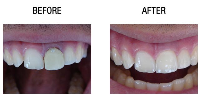
种植牙前后对比
1、外伤感染:种植牙手术操作不规范,如手术器械没有经过严格消毒,医生的操作不当、技术不娴熟和医院医疗设施落后等原因,容易导致手术去诱发感染。
2、伤口裂开:对伤口的处理上,既不能过紧也不能过松,否则容易导致伤口裂开,尤其是在伤口本身有炎症的情况下,这种情况更易发生,显然跟医生的经验有关系。
2、牙龈增生:种植牙医生的经验不够,处理每个过程容易不到位,如果基台穿龈过少,或基台与桥架连接不良,造成局部卫生状况差,长期的慢性炎性刺激可致牙龈增生。而像德伦这样的种植牙高端齿科诊所,拥有国内外权威泰斗种植牙医师,完全不会出现这样的问题。
穗华口腔是您爱牙的放心之选
穗华口腔医院是拥有百年人文底蕴的暨南大学附属口腔医院临床教学医院,是广东省卫生厅批准成立的口腔专科医院,是集口腔诊疗、教学和科研为一体的现代化口腔综合医院,承诺永远以顾客的牙齿健康为必要因素,确保给顾客高性价比的口腔治疗,如果您还有什么问题或需要帮助,可在线咨询或拨打热线:020-62266666,将您的问题告诉在线医生,专家不仅能耐心为您分析解答,还能提供预约挂号的服务,让你就诊更方便快捷,“百度100遍,不如咨询一次”。