牙齿缺失了,到底是种牙好还是镶牙好?顾客朋友们经常有这种疑问,为了解决好大家的疑问,下文请穗华口腔专家为大家分析一下这两种牙齿修复方式的区别。

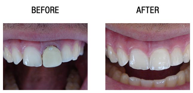
种植牙前后对比
穗华口腔修复科专家介绍,“镶牙”在医学上称口腔修复。它包括牙体缺损及牙列缺失的修复等。近年来制作假牙的材料主要是:烤瓷、塑料、金属,由于假牙在口腔的固位方式不同,将牙齿缺失的修复分为两种: 即活动义齿与固定义齿。
而种植牙,是指在牙骨内打入金属牙根,等到金属牙根与进行牙齿修复的患者本身的牙槽骨进行紧密相结合后,在其牙根位置再装上假牙的一种牙齿修复方法。这种种牙效果稳固,使用期限长,受到很多牙齿修复患者的喜爱。
“镶牙”与“种植牙”方式的比较
一、传统镶牙需要将缺牙位置的两边牙齿磨小以作为固定牙套的支撑,牙套在口腔内人们会感觉不舒服,而种牙时则不会影响缺牙位置旁的其它牙齿,更不会有异物感、不舒服感。
二、在使用传统镶牙后,人们牙齿的咀嚼能力会变差,而且损坏其它牙齿,导致整体的咀嚼能力变弱。而且镶牙之后,毕竟是异物,很容易会积淀脏物,不易清理,影响牙齿美观,而种牙的密合性非常好,不会出现传统镶牙的这些弊端。
三、在牙齿缺失比较厉害的情况下,传统镶牙会以依靠牙床粘膜软组织为支撑,因此容易活动,如果长期使用,会造成牙槽骨将逐渐萎缩现象。而种牙相对比较适应牙齿缺失较少的情况,对于牙齿缺失较多情况,如果种牙在牙骨内打入较多的金属牙根,也容易造成牙龈的损坏。但是种牙不会出现牙齿移动现象。
种牙与镶牙的价格比较
种植牙的价格一般比镶牙的价格要贵一些,但毕竟一分钱一分货,种植牙技术要比镶牙的技术的要求高很多,况且患者一般需求国外品牌的种植体,价格也就走高了。再者,通过以上的比较可知,种植牙的优越性要比镶牙的要好。从我们接收牙齿缺失患者做种植牙治疗后反应的效果来看,患者都有表示做种植牙值得。种完牙,吃东西轻松,心情愉快舒畅,身体吸收好,健康。可见一种好的牙齿修复方式换来一副好牙,一副好牙换来一个健康愉快的身体,而这些往往不能用金钱衡量的。
总的来说种植牙的优点就是:不是真牙好比真牙,稳定牢固,安全无不良反应,使用寿命可达40年以上。
关于“种牙好还是镶牙好?”相信你已经有所了解,如果您还有什么问题或需要帮助,可在线咨询或拨打热线:020-62266666,将您的问题告诉在线医生,专家不仅能耐心为您分析解答,还能提供预约挂号的服务,让你就诊更方便快捷,“百度100遍,不如咨询一次”。