地包天是临床上常见的牙齿畸形,大多数的患者表现为牙齿前突,形成一个弯弓弧形,使得嘴巴不能合拢,尤其影响美观,所以很多地包天患者都会做牙齿矫正,这时人们又开始疑问了,地包天矫正需要拔牙吗?下文请穗华口腔医院专家为大家做详细的介绍。

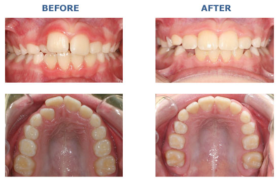
地包天矫正前后对比
穗华口腔专家表示,地包天矫正是否需要拔牙要根据患者的牙齿情况来定,一般情况下牙齿的位置足够是不需要拔牙的,常见需要拔牙做矫正的地包天有:
1、牙齿存在严重拥挤或接近重度拥挤,需要做矫正,要想排齐牙齿、达到美观要求,同时保证矫治后效果的稳定,这种情况就需要拔牙。因为牙齿矫正过程中需要牙弓有足够的空间来达到牙齿移动,以求来达到牙齿矫正的目的,因而需要拔牙。
2、牙齿患有严重的龋齿,这种情况也是需要拔牙的。因为患有严重的龋齿,通过正常治疗手段,依然无法达到治愈效果的,就需要拔除牙齿,以避免在牙齿矫正中,导致龋齿脱落,从而影响整个矫正疗程。
地包天矫正需要拔牙只是让矫正的效果更明显,拔牙后做矫正并不会存在牙齿松动或随着年龄的增加牙齿容易脱落的现象,所以矫正地包天需要拔牙的也不需要太过于担心。穗华口腔专家表示,对于地包天矫正要不要拔牙这个问题需要根据患者的口腔情况来决定,另外还要参考患者的矫正牙齿计划决定,医生会根据具体来设计方案。
穗华口腔专家推荐无痛微创拔牙术
无痛微创拔牙术通过全景数字扫描机对患牙进行全面拍摄,确定患牙位置,然后实施局部麻醉后,在无菌条件下使用特制的加长气压窝轮牙钻,将牙齿牙冠进行分割后,再用微创拔牙器械利用这类系列器械的类关节样结构插入牙周膜与牙槽骨质之间将其分离,切断相互连接的牙周韧带,利用微创器械轻轻旋转,在不损伤牙齿周 围其它组织的情况下就可使牙齿充分松动并轻松脱出。
无痛微创拔牙技术具有创口小、出血少、痛苦轻、术后并发症少的优点,特别对复杂阻生智齿的拔除具有明显优势,是平常的拔牙手术向着微创化、舒适化、规范化、人性化、数字化方向发展,这样就避免了传统的劈冠凿骨和敲锤增隙,大大减轻了患者的不舒适感觉。
穗华口腔是您爱牙的放心之选
穗华口腔医院是拥有百年人文底蕴的暨南大学附属口腔医院临床教学医院,是广东省卫生厅批准成立的口腔专科医院,是集口腔诊疗、教学和科研为一体的现代化口腔综合医院,组建了由多位博士生导师和国内外知名专家构成的专业口腔专家队伍,承诺永远以顾客的牙齿健康为必要因素,确保给顾客高性价比的口腔治疗。
温馨提醒:牙齿问题是不容忽视的问题,对于牙齿问题,我们应该尽早进行治疗,以免给我们的生活造成不必要的麻烦和困扰。如果您还有什么问题或需要帮助,可在线咨询或拨打热线:020-62266666,将您的问题告诉在线医生,专家不仅能耐心为您分析解答,还能提供预约挂号的服务,让你就诊更方便快捷,“百度100遍,不如咨询一次”。