牙齿在人类身体结构当中占据着非常重要的位置,它除了发挥食物消化的第一道工序——咀嚼外,还起到帮助发音、保持面部外形的功能,所以俗话常说“拥有一口好牙就拥有一生的福气”。牙好,胃口就好,身体好,精神也好。相反,如果牙齿出现问题,比如牙齿缺失会给生活带来极大的困扰,种植牙是目前非常先进的牙齿修复技术,能够解决牙齿缺失的问题,那么影响种植牙效果有哪些因素?下文请穗华口腔专家为大家介绍一下。

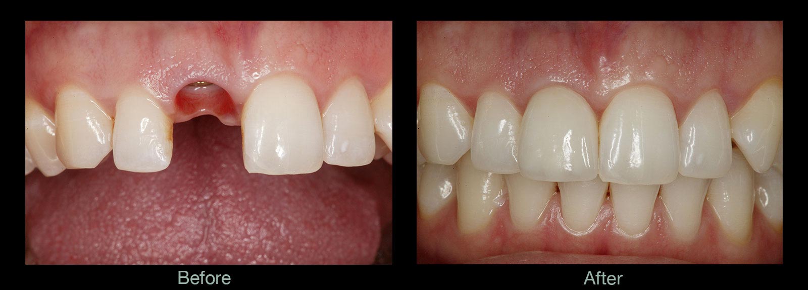
种植牙前后对比
穗华口腔专家介绍影响种植牙效果的因素:
1、种植窝与牙槽窝的关系
种植窝的方向不是与牙槽窝相对平行的。
首先在腭侧骨壁中1/3处定点,再于此点开始,沿与唇侧骨壁平行的方向备种植窝,以保留足够的唇侧骨组织。
2、是否需要植骨
唇颊侧骨壁缺损需要植骨。
唇颊侧骨壁无明显缺损情况下,种植窝与拔牙窝之间的间隙大于1mm需要植骨。
3、如何关闭创口
牙龈形态较好可以直接上愈合基台。
唇侧牙龈较差,可以通过腭侧转移牙龈瓣关闭创口。
条件允许可以进行即刻修复。
4、如何保证种植体的初期稳定性
种植体的植入深度要位于拔牙窝下2mm。
3D靶向种植牙技术,是暨南大学多位种植名家多年积累的义齿修复技术和经验,与一系列国际前沿齿科设备结合的产物,应用意大利NewTom曲面断层扫描CBCT技术、德国WIELAND CAD/CAM计算机辅助设计与制作技术、美国Ambulanc笑气镇静镇痛系统、丹麦3shape 3D打印技术及3shape TRIOS激光扫描重建技术等,从5个方面打造穗华种植牙“40年预期留存率”超过90%的“长寿基因”!
* CT3D颌面扫描,定位更精确 * 华南领先牙周科,治好牙周更长寿
* 笑气镇痛更舒适,轻松享受 * 重建咬合更和谐,坚固耐用
穗华口腔是您爱牙的放心之选
穗华口腔医院是拥有人文底蕴的暨南大学附属口腔医院临床教学医院,是广东省卫生厅批准成立的口腔专科医院,是集口腔诊疗、教学和科研为一体的现代化口腔综合医院,组建了由多位博士生导师和国内外知名专家构成的专业口腔专家队伍,承诺永远以顾客的牙齿健康为必要因素,确保给顾客高性价比的口腔治疗。
温馨提醒:牙齿问题是不容忽视的问题,对于牙齿问题,我们应该尽早进行治疗,以免给我们的生活造成不必要的麻烦和困扰。如果您还有什么问题或需要帮助,可在线咨询或拨打热线:020-62266666,将您的问题告诉在线医生,专家不仅能耐心为您分析解答,还能提供预约挂号的服务,让你就诊更方便快捷,“百度100遍,不如咨询一次”。