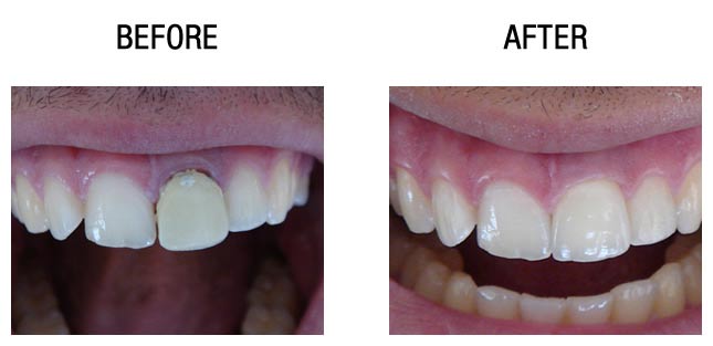
种植牙拥有近似真牙的外观和性能,使用寿命也长达几十年,许多牙缺失顾客都对它颇有兴趣。那么种植牙需要多长时间?下文请
穗华口腔医院专家为大家解开疑惑。
穗华口腔专家表示,事实上,由于每位顾客的口腔情况不同,所以,种植牙需要多长时间因人而异,并没有统一定论。
种植一颗牙齿的流程:
种植牙手术前,需要进行身体检查和口腔检查。如果拔掉特别松的牙齿、残根,填充龋齿,治疗牙周病去除不良假牙,调改和纠正不良咬合关系等。这个阶段所需时间视个人情况不同而异。
种植牙手术中,根据医生种植牙手术前的设计方案,通过手术将种植体植入骨内,植入一枚种植体的时间约10-30分钟。
种植牙手术后,根据种植体和骨组织的愈合情况来决定什么时候可以戴牙冠。部分患者可当天或者半个月以后戴上临时牙冠,当复诊发现种植体和骨组织愈合良好后,一般在三个月后,可戴上很久牙冠。
后期需要定期复诊,为保证种植牙的效果与寿命,医生会根据患者的具体情况约诊,对部分患牙还需要做根管治疗。
温馨提示:
做种植牙修复,一定要慎重选择口腔机构。正规专业的口腔机构一般拥有经验丰富的医生,不仅能够为患者制定合适的治疗方案,还能为患者的牙齿建立一份档案,全程跟踪顾客的口腔健康情况。
穗华口腔是您爱牙的放心之选
穗华口腔医院是拥有百年人文底蕴的暨南大学附属口腔医院临床教学医院,是广东省卫生厅批准成立的口腔专科医院,是集口腔诊疗、教学和科研为一体的现代化口腔综合医院,组建了由多位博士生导师和国内外知名专家构成的专业口腔专家队伍,承诺永远以顾客的牙齿健康为必要因素,确保给顾客高性价比的口腔治疗。
温馨提醒:牙齿问题是不容忽视的问题,对于牙齿问题,我们应该尽早进行治疗,以免给我们的生活造成不必要的麻烦和困扰。如果您还有什么问题或需要帮助,可在线咨询或拨打热线:020-62266666,将您的问题告诉在线医生,专家不仅能耐心为您分析解答,还能提供预约挂号的服务,让你就诊更方便快捷,“百度100遍,不如咨询一次”。