地包天是一种常见的牙齿畸形,它对人们危害很大,不仅会影响到人们外在美观,而且还影响到人们身体健康。所以如果有地包天,则一定要及时去医院进行矫正。然而地包天矫正并不是一步到位的,还需做好矫正后的护理,才能保证矫正的效果。那么地包天矫正后的注意事项有哪些呢?下文为大家揭晓地包天矫正的注意事项。
地包天矫正的注意事项。地包天矫正后人们饮食需要注意,不要吃过粘、过硬食物,吃肉类等也需要用刀切或用手撕成小块肉或去壳后再吃,不要使用牙齿直接啃或撕。另外,像年糕等糯米制品也不能吃。进食时,人们如果不加注意可能就会造成矫正器的脱落或损坏,不但增加治疗费用与复诊次数,还会延长矫正疗程的时间。
地包天矫正的注意事项。地包天矫正后要保持口腔清洁,由于牙齿矫正器是靠粘结剂粘结在牙齿表面上,然后通过矫正器给牙齿进行施力,从而使牙齿慢慢移动。想要达到理想的矫正效果不仅需要医生精湛的技艺,而且还需要患者的积极配合。地包天矫正过程中可能不利于保持口腔清洁,但是保持良好的口腔清洁不会影响到地包天矫正效果。
地包天矫正的注意事项。地包天矫正后人们平时进食后一定要用水或茶水餐后漱口,这样能够防止口腔内更多的致病细菌发生,因为人体口腔中有正常的寄生菌,空气中也有大量的微生物存在,口腔经常与外界接触。再加上地包天矫正过程中会影响到人们刷牙,这样口腔内的致病细菌会更容易发生。
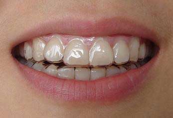
穗华口腔美国隐适美隐形矫正
隐形时尚:矫正器近乎透明,远看隐形看不见,近看很个性很时尚。
轻松自如:矫正器可自行摘戴,饭前取下饭后戴上,不影响饮食;刷牙前取下刷牙后戴上,不影响清洁牙齿。
舒适无刺激:医用高分子材料制作,不含金属,不会刺激牙齿和牙床,矫牙过程很舒适。
安全可靠:所有矫正器均在美国设计制造,全部原装进口。

美国隐适美隐形矫正
穗华口腔韩国8M™极速矫正技术
疗程缩短:采用专利技术的“牙合微振器”,通过高频度的微振动力,使牙齿在牙槽骨中产生良性松动,松动后的牙齿移动更快速,从而大大加快矫牙速度。
杜绝拔牙:传统矫牙术需要拔牙的病例,由于微动力的介入不再需要拔牙,从而为患者保留了珍贵的牙齿。
低疼痛感:良性松动后的牙齿对矫正力的反馈更小,“箍牙”的不适感大大减轻,矫牙过程更舒适。
美学正畸:矫牙过程中应用了韩式美学设计理念,排齐牙齿的同时让脸型更美,整容整牙一步到位。

韩国8M™极速矫正
穗华口腔金属托槽矫正技术
外形小巧美观:采用独特的"锁扣"技术,缩短正畸疗程近三分之一时间,复诊间隔时间延长为8-12周。
节省时间:采用"锁扣"技术,6步即轻松完成,记忆功能的弹性弓丝,大大提高了畸牙移动的有效性,有些疗程可缩短6个月以上。
降低拔牙率:独有的持续微强力系统,有效扩展空间,减少拔牙几率。
美观舒适:外形小巧,安全性好,避免结扎丝末端对口腔刺伤及不适感。

金属托槽矫正
穗华口腔美牙冠矫正技术
仿生性:在牙齿的形态、色泽、功能、结构、相容性等各个方面完全比照真牙研究而成。
仿真性:在结构上与真牙的牙釉质、牙本质完全相同,从而达到与真牙一致的感觉。
坚固性:足以承受50公斤的拉力,使牙冠比自然牙更坚固,终生不脱落。

美牙冠矫正
穗华口腔eBrace舌侧隐形矫正技术
技术先进:采用计算机辅助设计制造CAD/CAM和数字投影快速成型DLP等先进技术。
完全隐形:托槽在牙齿背面,既保护了隐私,因无遮挡,也便于医生观察牙齿移动情况。
避免口腔损伤:避免唇侧牙釉质受酸蚀剂作用脱钙;避免运动中矫正器对唇部的损伤。
量齿定做:根据牙齿终理想状态而设计的各阶段的个性化弓丝和托槽。

eBrace舌侧隐形矫正
选择正规医院,挑选好医师,给自己的牙齿矫正。穗华口腔医院是拥有百年人文底蕴的暨南大学附属口腔医院临床教学医院,是广东省卫生厅批准成立的口腔专科医院,是集口腔诊疗、教学和科研为一体的现代化口腔综合医院,是您看牙的放心信赖之选!
由于篇幅有限,本文就为大家介绍这么多,关于地包天矫正的注意事项,如果您还有疑问或想了解更多,可点击在线咨询,届时与我院专家一对一沟通交流。