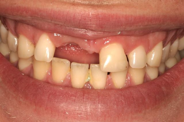
门牙不慎摔坏了,使得整个牙弓的完整性被破坏,还使得邻牙移位、倾斜,没有及时到医院治疗好门牙缺失,这样会给以后的门牙缺失治疗增加失败的几率。作为我们食道的道关卡,门牙缺失是很严重的了,那么解决门牙缺失有什么好方法吗?

门牙缺失
对于成年人来说,由于牙齿的生长发育已经停止,我们建议采用种植牙技术。
穗华口腔3D靶向种植术,3D靶向种植牙技术,是暨南大学多位种植名家多年积累的义齿修复技术和经验,与一系列国际前沿齿科设备结合的产物,应用意大利NewTom曲面断层扫描CBCT技术、德国WIELAND CAD/CAM计算机辅助设计与制作技术、美国Ambulanc笑气镇静镇痛系统、丹麦3shape 3D打印技术及3shape TRIOS激光扫描重建技术等,从5个方面打造穗华种植牙“40年预期留存率”超过90%的“长寿基因”!
* CT3D颌面扫描,定位更精准 * 华南领先牙周科,治好牙周更长寿
* 笑气镇痛更舒适,轻松享受 * 重建咬合更和谐,坚固耐用
种植牙是一项对技术要求比较高端的技术,所以做种植牙一定要选择有医疗保障的大型口腔医院,因为专业,所以放心、宽心。穗华口腔种植系统已被口腔医学界公认为缺牙的修复方式。具有安全无痛、舒适美观、坚固耐用优势。