牙齿错位在我们生活中很常见,是一种牙齿畸形,它的危害不可忽视,直接影响到我们的生活方方面面。在生活中也许大家都见过牙齿错位,只是不知道这种牙齿畸形的表现就是牙齿错位,那么什么是牙齿错位,下文为大家介绍一下。

牙齿错位
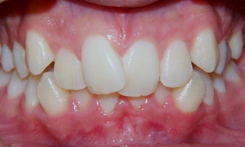
牙错位的表现形态
1、牙弓形成和牙排列异常:包括牙弓狭窄、腭盖高拱;牙列拥挤;牙列稀疏。
2、个别牙齿的错位:包括牙的唇向错位、颊向错位、舌向错位、腭向错位、近中错位、远中错位、高位、低位、转位、易位、斜轴等。
3、牙弓、颌骨、颅面关系的异常:包括前牙反颌;前牙反颌,近中错合,下颌前突;前牙深覆盖,远中错合,上颌前突;上下牙弓前突,双颌前突;一侧反颌,颜面不对称;前牙深覆合,面下1/3高度不足;前牙开颌,面下1/3高度增加。
穗华口腔专家指出:在儿童生长发育过程中,由先天的遗传因素或后天的环境因素,如疾病、口腔不良习惯、替牙障碍等,也可在生长发育后因外伤、牙周病等原因造成的如牙齿排列不齐、上下牙弓牙合关系的异常、颌骨大小形态位置的异常、面部畸形等也称为牙齿错位。如果您还有其他疑问或需要帮助,还可以点击在线咨询,或者拔打免费电话:020-62266666。百度100遍,不如咨询1次。