不久前一位网友咨询想矫正自己的龅牙,但是不知道广州牙齿矫正哪家医院?为她推荐广州穗华口腔医院,推荐理由充足,下文为大家介绍广州穗华口腔的优势。

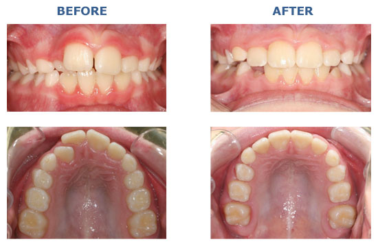
龅牙矫正前后对比
广州穗华口腔 率先引进牙齿美容修复、英式四维矫正技术,在牙齿矫正过程中,穗华口腔专家会依据个人的口腔情况,为其制定个人专属的美牙方案,让你牙齿矫正不仅轻松无忧,而且矫牙之后牙齿与脸型实现完美结合。
享誉全球的齿科修复技术,让你从此绽放美笑容--欧洲牙齿美容修复矫正技术
穗华欧洲牙齿美容修复技术代表世界牙齿美容新风尚,经欧洲多家着名医学科研机构联手研发,创造出具有牙齿美学“革命意义”的牙齿美容修复系列,将全瓷牙在外观、性能上的优势发挥到。
国际领先的四维正畸技术,实现牙齿与脸型完美结合--英式四维矫正技术
穗华英式矫正技术是获国际口腔正畸界公认的突破技术,由中韩齿科专家联合坐诊,精选4种牙齿矫正方式,包括的纳米材料研制的全透明牙齿矫治器,实现全程无痛无创治疗,专门治疗各种牙齿排列不整齐,咬合错位等牙齿形态问题,还你一口整齐、坚固耐用的健康原牙。
选择一家好的医院 挑选好的医师
穗华口腔医院是拥有百年人文底蕴的暨南大学附属口腔医院临床教学医院,是广东省卫生厅批准成立的口腔专科医院,是集口腔诊疗、教学和科研为一体的现代化口腔综合医院,是您看牙的放心信赖之选!以上就是对龅牙治疗方法的介绍,由于篇幅有限,如果您有其他疑问或需要帮助,请点击在线咨询,穗华口腔专家竭诚为您答疑解惑。百度100遍,不如咨询1次。