广州洗牙要多少钱?

牙齿的健康也彰显着我们身体的健康,目前越来越多的人重视牙齿的健康,通过...【详细】
洁牙会导致牙齿松动吗?

随着人们健康意识的提高,牙齿保健也成为了越来越多人的关注点。不少人都会...【详细】
洗牙是怎么洗的?

洗牙,就是清洗牙齿,牙科行内话叫洁牙,既是清洁,也是治疗,预防。也就是...【详细】
2015海外文化社团中华才艺(书画)培训班结业

11月29日,由国务院侨办主办、暨南大学承办的2015海外文化社团中华才艺(书画...【详细】
牙齿矫正需要注意什么事项?

随着人们对美的追求意识日益高涨,牙齿已经成为个人形象展示重要部位,也自...【详细】
广州牙齿矫正多少钱?

在广州,越来越多牙齿畸形的人为了形象健康,选择了牙齿矫正。那么广州牙齿...【详细】
牙齿矫正哪里好?

牙齿畸形不仅给人们的魅力带来影响,而且会给人们的口腔健康带来极大的困扰...【详细】
牙齿矫正有危害吗?

牙齿矫正是现在非常受人追捧的美牙方式,但仍有不少人疑惑牙齿矫正有危害吗...【详细】
你知道牙齿矫正的那些事情吗?

现代传扬着牙齿矫正的很多流言,听说矫正会松动牙齿,还一定要进行拔牙,而...【详细】
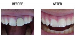
龅牙怎么矫正?

龅牙严重影响人的面部美观,龅牙怎么矫正?随着科技的发展,龅牙矫正方式也...【详细】
版权:广州穗华口腔医院
备案号:粤ICP备15046903号
医疗广告审查证明文号:粤(A)广(2025)第1188号