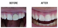
治疗蛀牙用什么方法好?

蛀牙,有时也有人叫它虫牙,学名龋齿。其主要形成原因是牙菌斑。牙菌斑是牙...【详细】
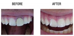
蛀牙有几种类型?

蛀牙侵蚀牙齿使得牙齿受损形成牙洞,当蛀牙危及到牙龈,就会导致牙齿疼痛。...【详细】
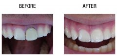
怎么能有效预防蛀牙?

生活中患有蛀牙的人很普遍,蛀牙能引起牙齿疼痛甚至牙齿脱落,严重影响了患...【详细】
“滔滔不绝”品“教学”:青年名师刘涛妙谈传

11月26日下午,青年博导、第二届暨南大学本科课程新任教师教学竞赛特等奖获...【详细】
【迈向高水平系列报道】医学科学研究与应用团

11月19日下午,我校医学科学研究与应用团组高水平大学建设项目启动大会召开...【详细】
南校区二三食堂(蒙古包)规划设计理念专家评

为了充分听取各方面的意见和建议,扎实推进南校区二三食堂(蒙古包)复建工...【详细】
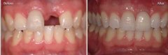
微创无痛拔牙

拔牙是指拔除一些没有留存价值的牙齿,比如烂牙根、多生牙、错位牙等等。传...【详细】
拔一颗牙要多少钱?

拔一颗牙要多少钱?如今物价不停上涨,更有很多盈利机构打着医疗的幌子总而...【详细】
拔牙后要注意什么事项?

拔牙是把没有存在价值的牙齿拔掉,但是拔牙后也要注意一些事项,以保证拔牙...【详细】
拔牙前要做什么检查?

拔牙其实不是一件简单的事情,有些人就是因为进行了不当的拔牙,而给自己口...【详细】
版权:广州穗华口腔医院
备案号:粤ICP备15046903号
医疗广告审查证明文号:粤(A)广(2025)第1188号