陆港澳教育界代表为暨南大学招生工作献计献策

11月22日下午,2015年暨南大学对香港、澳门特别行政区招生工作座谈会在校本部...【详细】
省政协副主席唐豪来校考察 赞暨南大学“特色明

11月23日,广东省政协副主席唐豪来校考察,走访了暨南大学省政协外事侨务委...【详细】
根管治疗的过程是怎样的?

根管治疗技术是目前被国际公认治疗牙髓、根尖周病变的非常有效的先进治疗方...【详细】
根管治疗需要多少时间?

根管治疗是采用清除患牙髓腔内特别是根管内的坏死物质,经过冲洗消毒之后,...【详细】
显微根管治疗技术完美治愈根尖周炎

根尖周炎是指发生在牙齿根尖部及其周围组织,即表现为牙骨质牙周膜和牙槽骨...【详细】
牙齿根管治疗需要多少费用?

根管治疗,是现在很流行的一种牙齿治疗方法,其手术保留了牙齿,因而与拔牙...【详细】
引起牙痛有什么原因?

生活中有很多的朋友出现牙痛的现象,给很多的朋友带来很大的困扰,引起牙痛...【详细】
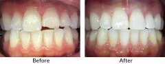
根管治疗的优势和适应症

牙髓发生感染,会造成疼痛、颌骨感染,最终牙齿因为牙神经的死亡而变得脆弱...【详细】
根管治疗有什么优点?

根管治疗是针对牙齿、牙髓、根尖病变的一个治疗过程。其主要目的是停止炎症...【详细】
广州做根管治疗费用大概是多少?

当有牙髓炎或是深龋齿的时候,为了保留牙齿本身,做根管治疗是很有必要的,...【详细】
版权:广州穗华口腔医院
备案号:粤ICP备15046903号
医疗广告审查证明文号:粤(A)广(2025)第1188号