牙贴面怎么选择呢?

贴面是将牙齿唇侧(朝向外面的那一侧)表面磨除一层后用口腔专用材料重塑牙齿...【详细】
烤瓷牙需要多少钱?

烤瓷牙矫正技术可以让爱美女性变得更加美丽自信,绽放出完美迷人的笑容。这...【详细】
澳大利亚科廷科技大学副校长来访暨南大学

11月16日上午,澳大利亚科廷科技大学副校长布莱特柯尔克教授(Professor.Brett ...【详细】
南校区一期二批项目建设进展跟踪

晨起在宿舍阳台上呼吸新鲜空气,到有东南亚建筑风格的食堂吃早餐,骑着公益...【详细】
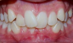
虎牙怎么矫正?

虎牙,在我们口腔中占有着重要的地位,用于撕咬食物,不易龋坏,并且支撑着...【详细】
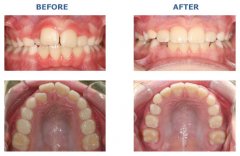
虎牙矫正有哪些办法?

我们都知道虎牙不能拔除,唯一的办法就是矫正,而牙齿矫正的方法比比皆是,...【详细】
虎牙怎么治疗好?

昔日可爱的虎牙却成了一个难题,长长的虎牙不仅影响到自己的美貌,而且对口...【详细】
虎牙矫正需要注意什么问题?

我们很多人都会有虎牙,但是有的人长得很好看,会让自己的形象更加俏皮可爱...【详细】
虎牙矫正有哪些副作用?

暨南大学穗华口腔专家介绍,虎牙虽然给大多数人的印象是比较可爱乖巧,但是...【详细】
虎牙矫正什么年龄合适?

虎牙是我们很熟悉的一种牙齿,但是虎牙也有比较外突和不齐的状况,进而会对...【详细】
版权:广州穗华口腔医院
备案号:粤ICP备15046903号
医疗广告审查证明文号:粤(A)广(2025)第1188号