无托槽隐形矫正是什么呢?

随着人们生活水平的不断提高,人们对自身的健康、形象逐渐引起了重视,越来...【详细】
矫正牙列不齐需要多少钱?

牙齿不齐在生活中非常常见,这也致使很多人有了习以为常,见怪不怪的心理,...【详细】
龅牙有什么危害呢?

一口整齐洁白的牙齿笑起来会让人如浴春风,每个人都想拥有,整齐洁白的牙齿...【详细】
戴牙套矫正后要注意什么呢?

现在很多人在为自己的一口畸形牙而烦恼,畸形牙会给朋友们带来美观的影响,...【详细】
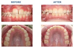
牙套矫正牙齿有哪些步骤?

如果长了一口畸形的牙齿就很悲催了,很影响美观,还会影响发音、咀嚼和进食...【详细】
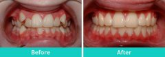
牙套矫正牙齿怎么样?

畸形的牙齿非常影响美观、发音、咀嚼和进食,牙齿矫正可以塑造牙齿健康美观...【详细】
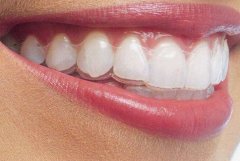
隐形牙套矫正有什么优势?

隐形牙套矫正以其独特的优势和效果得到了大家的认可,受到广大爱美患者的青...【详细】
儿童戴牙套矫正什么时候好?

牙齿矫正讲究好的时期,在好的时期里矫正牙齿,将可以免除很多麻烦,达到事...【详细】
牙齿矫正一定要带钢丝牙套吗?

陈女士今年26岁了,牙齿有畸形了,想去医院矫正牙齿,但是在大街上看到很多...【详细】
牙齿前突怎么矫正?

牙齿刚长的时候会觉得痒痒的,然后很多人就顶着牙齿,最后牙齿就会出现前突...【详细】
版权:广州穗华口腔医院
备案号:粤ICP备15046903号
医疗广告审查证明文号:粤(A)广(2025)第1188号