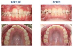
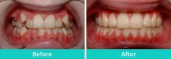
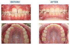
牙齿不齐怎么矫正?

看到明星一口整齐靓丽的牙齿,是否羡慕不已。随着现代医疗技术的进步,牙齿...【详细】
美容修复牙齿不齐哪里好?

牙齿东歪西倒是牙齿畸形的表现,对于这种现象,有很多患者都表示过不想做全...【详细】
牙齿不齐导致蛀牙吗?

暨南大学穗华口腔专家说:牙齿不齐、排列不规律的牙齿,会给刷牙或清洁带来...【详细】
根管治疗后为何还要做美容修复?

暨南大学穗华口腔专家说:根管治疗术,它称为牙髓治疗,是牙医学中治疗牙髓...【详细】
成人服用四环素类药物会使牙齿着色吗?

孩子在牙齿生长发育期间服用四环素类药物不当,使药物成分结合到牙组织内,...【详细】
《名医揭秘牙齿矫正专场讲座》开讲啦!

这么好!牙齿矫正减免10000元?还能免费获得原价350元口腔全景拍片各一次?还...【详细】
走进暨南大学南校区 感受衣食住行

随着新学期的临近,越来越多的家长和同学把关注的目光投向了暨南大学南校区...【详细】
四环素牙治疗要注意的事项

牙齿健康关乎身体健康,随着现代人们对于牙齿保健意识的提高,治疗四环素牙...【详细】
四环素牙能实现永久美白吗?

四环素牙对个人形象造成了不利的影响,给人们生活带来了很大的不便,治疗四...【详细】
新型的牙齿美白四法

一口美白的牙齿有利于提升我们的形象,绽放美好的笑容,促进我们的人际沟通...【详细】
版权:广州穗华口腔医院
备案号:粤ICP备15046903号
医疗广告审查证明文号:粤(A)广(2025)第1188号