暨南大学领导出席王宽城教育基金会成立三十周

9月18至19日,暨南大学副校长、教育发展基金会理事长林如鹏代表学校出席了王...【详细】
影响种植牙寿命有哪些因素?

理论上种植牙是一种可以使用几十年之久的牙齿修复体,一直有很高的实力光环...【详细】
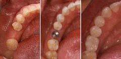
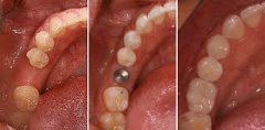
种植牙能使用多久?

种植牙可以说是目前使用寿命较长、受力效果较好、外观色泽跟真牙较为相似的...【详细】
门牙缺失了该怎么办?

门牙的缺失影响我们面部的美观和食物的咀嚼,门牙缺失了怎么办呢?下面请暨...【详细】
在广州种植牙贵不贵?

种植牙是修复牙齿缺失很好的修复方法,但因为目前物价的不断上调,种植牙的...【详细】
种植牙效果好吗?

种植牙是目前被公认为非常好的牙齿缺失修复方式,受到很多人的青睐。那么种...【详细】
种植牙价格贵吗?

种植牙是目前牙齿缺失很好的修复方式,很多牙齿缺失患者都选择做种植牙修复...【详细】
种植牙需要注意什么事项?

成功的种植牙无论是从功能还是外观上来说都可以和真牙所媲美,是一种理想的...【详细】
暨南大学承办“中国知识产权法学研究会2015年会

9月19日,由中国知识产权法学研究会主办,暨南大学法学院/知识产权学院、知...【详细】
关于根管治疗问题的答疑

根管治疗术又称牙髓治疗,是治疗牙髓病及根尖周病的有效的一种方法。通过清...【详细】
版权:广州穗华口腔医院
备案号:粤ICP备15046903号
医疗广告审查证明文号:粤(A)广(2024)第255号