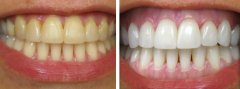
牙齿美白 邂逅浪漫爱情

每个人都有拥有浪漫的爱情,摘掉剩男、剩女的帽子,穗华口腔医生告诉您一个...【详细】
校史专家夏泉讲述抗战时期的暨南大学

开学季到了,暨南大学即将迎来109周年校庆。这所有中国第一侨校之称的高等学...【详细】
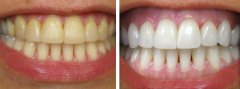
牙齿美白 拥有美好笑容

在中国,人们对于白皙皮肤和乌黑秀发的重视程度,远远超过了对牙齿美白度的...【详细】
哪些人适合做皓齿美白?

穗华口腔皓齿美白技术 皓齿美白是如今非常流行的牙齿美白技术。在美国,已...【详细】
皓齿美白,解决黄牙妹的困扰

齿白七分俏,每个人都希望自己能拥有一口美白的牙齿,露出灿烂的笑容。如果...【详细】
美白全瓷贴片令牙齿不再尴尬

由于现代食材要求好吃的同时也要求好看,在食材上都添加了人工色素,造成牙...【详细】
牙齿美白对20—30岁的妈妈重要吗?

20-30岁的妈妈,即使已为人母,也无法阻挡自己对爱美的热情,爱美是女人的天...【详细】
牙齿美白要注意保护牙釉质

牙釉质是包裹在牙齿外层白色半透明的坚硬组织,牙釉质的密度坚硬程度受牙齿...【详细】
普通美白的弊端

现代市面上、网络上流传的牙齿美白神器不胜枚举,从美白牙膏、牙粉到美牙贴...【详细】
牙齿美白的标准

市面上流传很多牙齿美白产品,但这些产品真正有效的寥寥无几,不能达到真正...【详细】
版权:广州穗华口腔医院
备案号:粤ICP备15046903号
医疗广告审查证明文号:粤(A)广(2025)第1188号