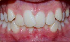
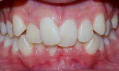
门牙缺了怎么办?

门牙位于牙齿的最前方,如果不小心摔掉了门牙,导致门牙缺失应该怎么办呢?...【详细】
美容修复和烤瓷牙的区别

穗华口腔数字修复中心专家介绍,美容修复是当今最流行的牙齿美容技术,与传...【详细】
做美容修复有什么副作用吗?

美容修复作为一种全新的牙齿修复方法,是传统烤瓷牙的突破,具有传统烤瓷牙...【详细】
我院成功举办中西医结合学会新医微创专业委员

8月22日,由广东省中西医结合学会新医微创专业委员会主办,广东省中西医结合...【详细】
赖仁发主任参到为百岁护理专家拔牙解决病痛

已满百岁的暨南大学附属第一医院原副院长兼护理部主任黄爱廉女士因牙齿不适...【详细】
什么是无托槽隐形矫正技术?

无托槽隐形矫正是近年来在国际上兴起的矫牙方式,在美观性、舒适性、便捷性...【详细】
隐形牙齿矫正是怎么样的过程?

隐形牙齿矫正是当今非常流行的矫正技术,具有传统矫牙不能媲美的优点,那隐...【详细】
做牙齿隐形矫正要多久?

牙齿矫正是最常用的改变牙齿形态的方法,重塑牙齿健康美观的形态,牙齿矫正...【详细】
影响牙齿矫正费用的因素

牙齿矫正是最常用的改变牙齿形态的方式,可以重塑牙齿的健康美观外形,那么...【详细】
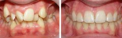
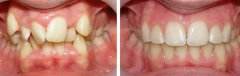
牙齿矫正对牙齿有什么影响?

很多人想通过牙齿矫正来改变牙齿的外形,但是又担心对牙齿不好,得不偿失,...【详细】
版权:广州穗华口腔医院
备案号:粤ICP备15046903号
医疗广告审查证明文号:粤(A)广(2025)第1188号