3D靶向种植牙手术网络现场双直播

8月23日上午9:30,全国首台现场网络双直播3D靶向种植牙手术将在暨南大学穗华...【详细】
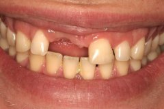
多颗牙缺失种植贵不贵?

多颗牙缺失种植贵不贵?多颗牙缺失影响我们外貌美观和自身健康,进行牙齿修...【详细】
种植牙使用寿命有多长?

许多牙齿缺失患者会担心种植牙的使用寿命不长,种植牙使用寿命的长短除了与...【详细】
种植牙术后应该如何护理?

种植牙在咀嚼功能上有着传统假牙无可比拟的优越性,患者可以像使用天然牙一...【详细】
预防牙缺失要从儿童期开始

在儿童期,就要养成注重口腔卫生清洁的习惯,定期去看牙,提高爱牙护牙的意...【详细】
牙齿缺失有哪些危害?

牙齿是人体的重要器官之一,没有牙齿,势必影响到身体其他器官的运作。牙齿...【详细】
牙周炎会影响种植吗?

种植牙是现代比较先进牙齿修复技术,它的出现有效改变了传统假牙异物感强烈...【详细】
种植牙术后要注意什么事项?

种植牙具有稳固、美观、寿命长的特点,深受消费者的喜爱,为了能成功种植牙...【详细】
种植牙前需要洗牙吗?

种植牙是现代最先进的牙齿修复方式,不是简单的拔牙、镶牙,在做种植之前要...【详细】
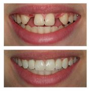
种植牙一颗的费用多少?

牙齿缺失使得我们想笑都笑不出来,影响自己在人心中的好印象,而微笑是人之...【详细】
版权:广州穗华口腔医院
备案号:粤ICP备15046903号
医疗广告审查证明文号:粤(A)广(2024)第255号