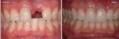
重磅聚焦 广州日报春茗读者茶话会百人见证缺牙

2016年3月19日上午8点30分,广州日报联合暨南大学穗华口腔医院举办 好牙叹早茶...【详细】
广州日报2016春茗读者茶话会 穗华邀你喝早茶

对于老广而言,喝早茶已然成为了老传统,然而年纪一大,十个中老年人中有八...【详细】
建设华南口腔消费新生态 让口腔医疗消费在阳光

守信才被授信。2015年12月,由南方都市报举办的中国营销盛典上,暨南大学穗华...【详细】
中韩口腔医疗事业研讨会暨“中韩友好医院”授

中韩专家合影 2016年3月9日上午,中韩口腔医疗事业研讨会暨中韩友好医院授牌...【详细】
青春“约“惠”趴——畸形牙正畸专场活动开始

在这个不仅看能力,还看颜值的现代社会,靓丽的外貌、得体的气质形象、整齐...【详细】
种植牙全民公益系列讲堂第001期:好牙 好口福

随着我国老龄化加快,中老年人的口腔健康问题日益严重,其中,老年人的牙齿...【详细】
穗华口腔启动“微笑广州▪2016美‘齿’度”牙

在现今看脸的社会,龅牙、地包天、牙缝过大等牙列不齐问题会让你在学校、在...【详细】
1月23日畸形牙正畸沙龙 全城约“惠”吧

新年伊始,每个人都想自己在新的一年有个新面貌。据穗华口腔医院数据显示,...【详细】
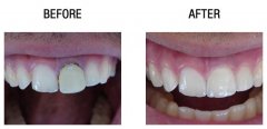
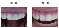
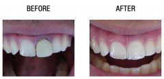
种好牙·过好年 微创无痛种植牙专场讲堂

春节假期临近,一大波美食正在靠近。很多缺牙患者都想趁着年前种口好牙过好...【详细】
1月17日畸形牙正畸沙龙 年终矫正盛“惠”

年关将至,亲朋好友团聚、同学联谊、相亲等仍将是春节不变的主旋律。牙齿是...【详细】
版权:广州穗华口腔医院
备案号:粤ICP备15046903号
医疗广告审查证明文号:粤(A)广(2025)第1188号