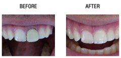
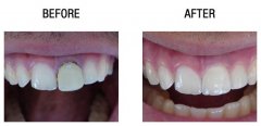
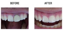
种植一颗牙费用是多少?

当我们的牙齿缺失之后,会严重影响到一个人的美观的问题,单颗牙齿缺失,让...【详细】
广州种植牙多少钱?

随着口腔医学技术的不断发展和进步,种植牙也越来越被人广泛接受。在广州,...【详细】
假牙的种类和价格

假牙套成为越来越多的人们的经济之选,对于那些还不清楚假牙套种类和价格的...【详细】
广州天河种植牙齿多少钱?

随着口腔种植技术的日益成熟,种植牙开始受到越来越多的牙缺失顾客青睐。种...【详细】
植牙的利弊是什么?

随着口腔医学技术的不断发展,越来越多的顾客选择了种植牙修复。那么植牙的...【详细】
广州天河植牙多少钱一颗?

因为种种缘故,我们身边并不少见牙齿缺失的现象。但现在,我们可以不再发愁...【详细】
种植一颗牙价格是多少?

种植牙在人们眼里非常神秘而价格高昂,但事实真是如此吗?其实,种植牙性能...【详细】
广州天河区即刻种植牙

自从即刻种植牙问世以来,已经成为了广大半口或全口牙齿缺失者的福音,帮助...【详细】
创新创业成果亮相增城“侨梦苑” 裘援平谭

12月22日,侨梦苑揭牌仪式暨侨梦苑创新创业交流会在广州增城国家级经济技术...【详细】
种牙多少钱一颗?

许多人都听说过种植牙,但大多数人并不了解,种植牙也分为很多种类,其种类...【详细】
版权:广州穗华口腔医院
备案号:粤ICP备15046903号
医疗广告审查证明文号:粤(A)广(2024)第255号