洗牙如何收费?

现在爱美的女性都开始关注牙齿美容了,试想一个漂亮性感的女人,如果张开嘴...【详细】
洗牙收费是怎么样的?

洗牙收费是怎么样的?很多消费者都会有这个问题。在医院洗个牙一般需要100元...【详细】
洗牙需要多少费用?

据佳洁士公布的一份在网上进行的牙齿健康魅力指数调查的结果,其中85%人认...【详细】
洗牙怎么收费?

有些人的牙齿因为某些原因,使牙齿变得非常黄很是影响美观。如何改善黄牙呢...【详细】
洗牙大概价格

洗牙有利于口腔卫生的维护,同时,还能够预防治疗牙髓炎。定期的洗牙,不但...【详细】
洗牙的价格是多少?

洗牙是一种很好的牙齿保健手段,有利于口腔卫生的维护,同时,还能够预防治...【详细】
洗牙价格

洗牙,是现在很普遍的牙齿美容,不少人都选择洗牙来清洁牙齿,让牙齿变得更...【详细】
洗牙价格表

人们俗称的洗牙,在医学术语被称之为洁治。所谓洁,就是去掉牙面的细菌、牙...【详细】
“百年讲堂”学期收官之作 葛剑雄教授畅谈海上

12月22日,着名历史地理学家、复旦大学特聘资深教授、全国政协常委葛剑雄做...【详细】
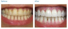
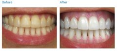
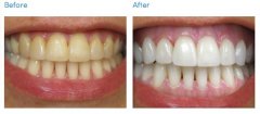
广州哪里做牙齿冷光美白好?

我们日常生活中的刷牙并不能解决牙齿变色的问题,想要牙齿真正地美白,需要...【详细】
版权:广州穗华口腔医院
备案号:粤ICP备15046903号
医疗广告审查证明文号:粤(A)广(2025)第1188号