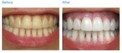
正常洗牙多少钱?

拥有一口皓白的牙齿,能展露迷人的微笑,散发出吸引人的魅力,洗牙能让牙齿...【详细】
补牙多少钱?

补牙是指用人造物质修因龋齿、楔状缺损、外伤等造成的牙体组织缺损,可以很...【详细】
洗牙和漂牙的区别

洗牙和漂牙是两件护理口腔的事情,那么洗牙和漂牙有什么区别?下文请暨南大...【详细】
学习贯彻落实十八届五中全会精神 科学制定暨南

12月17日下午,暨南学习论坛第39期暨学习贯彻落实十八届五中全会精神专题报告...【详细】
医院洗牙多长时间?

洗牙是现代生活常见的牙齿保健方法,定期洗牙,不仅能去除菌斑和牙石,而且还...【详细】
洗牙多长时间?

洗牙是现代生活常见的牙齿保健方法,定期洗牙,不仅能去除菌斑和牙石,而且还...【详细】
洗牙多长时间洗完

洗牙时一种常见的牙齿保健方法,不仅能去除菌斑和牙石,而且还能抑制口腔炎症...【详细】
喷砂洗牙过程

在生活中,人们对洗牙的认识存在许多误区,从而影响了正常口腔保健的效果。...【详细】
去医院洗牙流程

洗牙不仅是为了牙齿美白,还能预防牙结石,预防口腔疾病的发生。气动喷砂洗...【详细】
洗牙的步骤

在生活中,人们对洗牙的认识存在许多误区,从而影响了正常口腔保健的效果。...【详细】
版权:广州穗华口腔医院
备案号:粤ICP备15046903号
医疗广告审查证明文号:粤(A)广(2024)第255号