如何预防儿童牙齿着色?

牙齿颜色会随着年龄的变化而逐渐变黄,也与人们的饮食习惯相关。预防牙齿着...【详细】
皓齿美白牙齿效果好不好?

如今生活水平不断提高,爱美者们也越来越重视牙齿方面的健康,一口黄澄澄的...【详细】
皓齿美白的适应症是什么?

近年来,很多朋友都会选择皓齿美白进行牙齿美白,它能够快速解决人们一口发...【详细】
暨南大学-罗德斯大学孔子学院理事会在举行

12月9日,南非罗德斯大学副校长彼得克雷顿教授(Prof. Peter Clayton)、孔子学院...【详细】
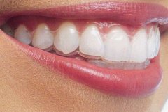
隐形矫正让你安心做爱笑佳人!

爱笑的女孩谁都喜爱,但是前提还得有一口整齐漂亮的牙齿!牙齿龅牙如凤姐,...【详细】
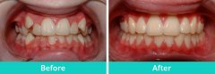
龅牙可以矫正吗?

龅牙是东方人种中较为常见的一类牙颌面畸形,龅牙常常表现为开唇露齿,自然...【详细】
怎么预防儿童龅牙?

龅牙是一种对人体危害比较大的一种牙齿畸形症状,不仅影响外形的美观,还会...【详细】
龅牙会遗传吗?

龅牙是常见的牙颌畸形现象,它不仅影响外观的美观,甚至还危害身心健康。相...【详细】
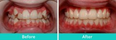
龅牙矫正要注意些什么?

龅牙是一种比较常见的牙颌面畸形,不仅影响外形美观,甚至会对人的身心健康...【详细】
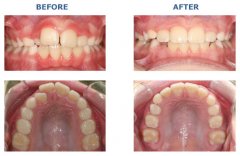
如何告别龅牙?

龅牙患者常常表现为开唇露齿,自然状态下双唇不能闭拢,微笑时牙龈外露过多...【详细】
版权:广州穗华口腔医院
备案号:粤ICP备15046903号
医疗广告审查证明文号:粤(A)广(2025)第1188号