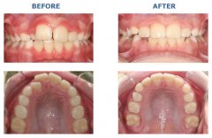
上牙前突危害表现在哪里?

上牙前突俗称龅牙,牙齿前突的原因主要是遗传,口呼吸,不良习惯等造成的,...【详细】
儿童矫正牙齿什么时候好?

大家都知道儿童时期各个方面塑造性好,所以当儿童出现牙齿不齐时,家长朋友...【详细】
儿童牙齿错位有什么原因?

凡恒牙在萌出过程中偏离正常位置,或恒牙未在牙列正常位置萌出,均称为牙齿...【详细】
隐形矫正效果好吗?

近年来,做牙齿矫正的数量越来越多,为避免牙齿不齐影响了个人的形象,工作...【详细】
儿童牙齿矫牙的好时期是什么时候?

大家都知道儿童时期各个方面塑造性好,所以当儿童出现牙齿不齐时,家长朋友...【详细】
美容冠让牙齿不齐不再是问题

牙齿不齐对于爱美的人而言,无疑是晴天霹雳!牙齿不齐会严重危害面部的美观...【详细】
牙齿矫正过程中怎么保持口腔清洁?

牙齿矫正是通过佩戴一段时间牙套,将排列紊乱的牙齿矫正整齐。可能会有不少...【详细】
牙齿矫正有哪几个佳期?

牙齿不齐会给人带来不少烦恼,不仅影响美观,还会导致人们不敢开怀大笑,产...【详细】
高校学术期刊发展高峰论坛:外聘专家促学术共

12月4日至7日,由校报编辑部主办的第二届名栏建设与高校学术期刊发展高峰论...【详细】
龅牙如何矫正?

龅牙严重影响人的面部美观,随着现代口腔医学的发展,龅牙矫正方式也越来越...【详细】
版权:广州穗华口腔医院
备案号:粤ICP备15046903号
医疗广告审查证明文号:粤(A)广(2025)第1188号