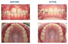
地包天的危害

暨南大学穗华口腔医院专家表示,牙齿地包天越早矫正越有好处,地包天对健康...【详细】
地包天矫正什么年龄好?

错颌畸形分三类,地包天属第三类,也是最难治疗的一类。有的正畸医生,把地...【详细】
暨南大学全媒体平台发布110周年校庆第一号公告

2016年11月16日,暨南大学将迎来110周年华诞。届时学校将诚邀各级领导、各位校...【详细】
暨南大学本科生在ONE SHOW中华青年创新竞赛中获一

11月11日晚,ONE SHOW中华青年创新竞赛、ONE SHOW中华青年创新营颁奖典礼在北京三...【详细】
装一个烤瓷牙多少钱?

对于贵金属烤瓷牙费用来说,因为其材料是采用金、银等贵金属,所以在费用上...【详细】
超薄瓷贴面完美修复牙齿缺损

人们常用唇红齿白形容长得健康漂亮,有一口洁白、整齐的牙齿,才能有灿烂的...【详细】
色素牙有什么危害呢?

暨南大学穗华口腔专家介绍,色素牙是人们常见的一种牙病,其实色素牙的产生...【详细】
色素牙是怎么形成的?

暨南大学穗华口腔专家表示说,我们希望得 到周围的人喜欢、尊重和有修养一...【详细】
清洁完牙齿要注意点什么?

暨南大学穗华口腔医院专家指出,解决烟渍牙的好方式就是做皓齿美白。牙齿美...【详细】
抽烟导致的黄牙如何变白?

对于爱美人士来说,黄牙对外形的影响是十分重大的,谁不想拥有一口晶莹透亮...【详细】
版权:广州穗华口腔医院
备案号:粤ICP备15046903号
医疗广告审查证明文号:粤(A)广(2025)第1188号