牙齿拥挤给生活带来了很多不便,令我们在和别人聊天时感到很自卑,不敢侃侃...
【详细】
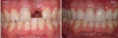
很多人认为牙齿掉一两颗没有关系,照常吃东西,没感觉有什么不妥。其实不然...
【详细】
种植牙是目前牙齿缺失很好的修复方式,拥有其他牙齿修复方式无法媲美的优点...
【详细】
理论上说种植牙使用期限很长,可以长达四十年,但是种植牙使用期限的长短也...
【详细】
由于每个人的口腔状况不同,牙齿健康程度也就不同。牙齿健康程度低所导致的...
【详细】
有很多人知道种植牙是修复牙齿缺失的很好的方式,种植牙是牙齿缺失患者的一...
【详细】
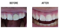
生活总有不如意的地方,就像我们的牙齿,意外导致缺损了,从此变得不自信起...
【详细】
2015年9月19日上午9点30分,广州日报联合暨南大学穗华口腔医院举办名医大讲堂...
【详细】
牙齿拥挤是一大牙齿问题,不仅影响外形美观,也影响口腔健康,给生活带来了...
【详细】
牙列拥挤使清洁不易,造成龋齿和牙周病发病率高,而且非常影响外观。严重者...
【详细】