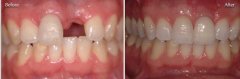
种植牙较之其他牙齿修复方式,有着无可媲美的优点,它依靠自身独立牙根存在...
【详细】
牙周炎的不断发展,会加速牙龈萎缩的恶化,而牙龈萎缩持续恶化的结果,就会...
【详细】
牙周炎会加速牙龈萎缩的恶化,而牙龈萎缩持续恶化的结果,就会导致牙槽骨吸...
【详细】
根管治疗是治疗牙髓病以及根尖周病的很好的治疗手段,那么哪些人适合做根管...
【详细】
根管治疗是牙医学中治疗牙髓坏死和牙根感染的一种手术,该手术保留了牙齿。...
【详细】
根管治疗(root canal therapy)是牙髓病和根尖周病的国际上很常用的有效治疗方法。...
【详细】
根管治疗术,又称牙髓治疗,粤语称杜牙根,是牙医学中治疗牙髓坏死和牙根感...
【详细】
根管治疗(root canal therapy)是牙髓病和根尖周病的国际上很常用的有效治疗方法。...
【详细】
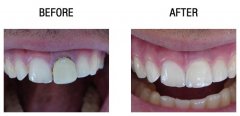
牙齿缺失会影响发音、造成面颊窝陷更显老,重要的是饮食困难严重危害身体健...
【详细】
种植牙较之其他牙齿修复方式有不可媲美的优点,是目前修复牙齿缺失很好的方...
【详细】