牙齿发黄怎么根治?

牙齿发黄很多人普遍存在的问题,即使是用了很多美白功能的牙膏也没什么效果...【详细】
洗牙能美白变色牙吗?

洗牙是牙科医院对于牙齿和口腔常用的保健清洁方法,它能够彻底去除平时刷牙...【详细】
牙垢怎么有效去除?

在无菌状态下,单纯粗糙的牙垢,对牙龈的机械刺激,并不引起牙龈明显的炎症...【详细】
9月12日“微笑广州·口腔义诊月”种植牙术观摩会

种植牙可以获得与天然牙功能、结构以及美观效果十分相似的修复效果,被称为...【详细】
纪念抗战胜利70周年:归侨倾力创作舞台剧

为纪念中国人民抗日战争暨世界反法西斯战争胜利70周年,暨南大学华文学院侨...【详细】
穗华口腔专家讲解关于牙齿美容修复的疑问

很多牙齿患者对于牙齿美容修复有很多疑问,针对牙齿患者们提出的问题,穗华...【详细】
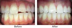
有蛀牙怎么办?

在生活中,大家常常会发现有蛀牙这个牙齿问题,那么有蛀牙怎么办呢?穗华口...【详细】
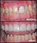
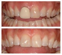
烤瓷牙失败了怎么办?

早些年前,许多牙齿患者只能通过传统烤瓷牙来修复各种牙齿问题。刚做了烤瓷...【详细】
烤瓷牙失败修复后会不会复发?

烤瓷牙失败症状主要包括:烤瓷牙脱落、咀嚼不良、色泽欠佳、形态不理想、牙...【详细】
牙齿美容修复术完美解决烤瓷牙失败

很多爱美人士都非常担心做过烤瓷牙出现牙龈发炎红肿、烤瓷牙于牙龈处出现黑...【详细】
版权:广州穗华口腔医院
备案号:粤ICP备15046903号
医疗广告审查证明文号:粤(A)广(2024)第255号