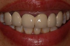
烤瓷牙失败修复哪间医院好?

对于烤瓷牙失败修复,对技术要求非常高,广州穗华口腔专家建议患者需要谨慎...【详细】
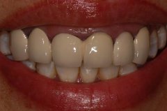
广州烤瓷牙失败修复需要多少钱?

很多爱牙人士在做过烤瓷牙修复后,出现牙龈发炎红肿、烤瓷牙于牙龈处出现黑...【详细】
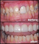
烤瓷牙失败会造成哪些伤害?

烤瓷牙是传统的一种非常理想的修复体,能够在短时间内快速修复各类畸形牙齿...【详细】
烤瓷牙失败的原因是什么?

早几年前烤瓷牙修复是一种流行的修复牙齿的方式,它是运用合金制成金属基底...【详细】
双星:苏炳添和莫有雪

自8月29日晚中国男子接力队创造新的历史成绩后,全世界的目光都投向了培养了...【详细】
11月15日韩国著名口腔正畸专家坐诊穗华

11月15日韩国著名口腔正畸专家李度勳坐诊穗华 韩国极速牙齿矫正创始人李度勳...【详细】
微笑广州•十月口腔敬老月

近日,由暨南大学穗华口腔医院 、广州市天河区文明委、广州市文明办、天河...【详细】
什么是美国3MLava全瓷牙?

美国3MLava全瓷牙为极佳的系统,不用改变修磨与印模的方式;与陶瓷烧附金属修...【详细】
美国3Mlava全瓷牙的优势

美国3Mlava全瓷牙具有绝佳的优势,成为拥有健康牙列年轻人群的一个很有吸引力...【详细】
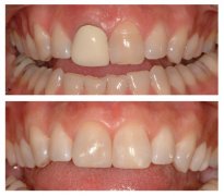
广州牙齿美容修复哪家医院好?

很多爱美人士在烤瓷牙修复不久后,牙龈出现红肿等不良现象,经常在一些重要...【详细】
版权:广州穗华口腔医院
备案号:粤ICP备15046903号
医疗广告审查证明文号:粤(A)广(2024)第255号