广州牙齿美容哪家医院好?

广州穗华口腔位于广州黄埔大道西413号3、4、5楼,一所由暨大附属口腔医院与韩...【详细】
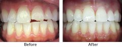
广州牙齿矫正哪家医院好?

不久前一位网友咨询想矫正自己的龅牙,但是不知道广州牙齿矫正哪家医院最好...【详细】
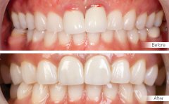
牙齿美容修复效果怎么样?

在生活中,我们经常因为门牙缺损、牙齿不齐、色素牙等而感到困扰,不敢露齿...【详细】
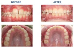
成人牙齿可以矫正吗?

很多人成年人因为错过了牙齿最佳矫正期而失望不已,其实不然,随着现代医术...【详细】
自信笑容由齿绽放

牙齿会说话,会微笑,牙齿展露是自信的表现,丑陋的牙齿会让形象大打折扣,...【详细】
国庆期间能不能快速矫正牙齿?

国庆假期将至,时间充裕,是进行牙齿矫正的好时机,有网友咨询:过庆期间能...【详细】
暨南双星创造第九道奇迹 摘世锦赛银牌

8月29日晚,2015年田径世锦赛男子4x100米接力决赛在鸟巢举行,中国队选手莫有雪...【详细】
牙齿的新贵族——氧化锆牙齿美容修复

每个人都想拥有一口健康美观的牙齿,但是往往事与愿违,很多人的牙齿都会出...【详细】
牙齿完美的几大标准?

个人魅力在微笑时散发出来,往往令人难以抵挡,可是却可能出现这样的问题,...【详细】
全球牙齿美容修复的8大旗帜标准制作

穗华牙齿美容修复,全面强力升级传统烤瓷牙,引进国外牙冠技术,采用国际顶...【详细】
版权:广州穗华口腔医院
备案号:粤ICP备15046903号
医疗广告审查证明文号:粤(A)广(2024)第255号