第十二届广州大学生电影节在暨南大学开幕

9月26日,第十二届广州大学生电影节在暨南大学拉开帷幕。电影节由广州市委宣...【详细】
根管治疗的注意事项

根管治疗能够很好地治疗牙髓病和根尖周病,这种牙齿治疗方法的好处在于可以...【详细】
根管治疗对技术细节的要求很高

根管治疗是目前能够很好保存患牙的治疗方式,在口腔界,根管治疗被公认为口...【详细】
出现牙齿拥挤的原因

牙齿拥挤是非常常见的一种牙齿畸形状态,前牙拥挤比后牙拥挤更常见。牙齿拥...【详细】
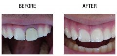
广州牙齿矫正需要多少钱?

一口健康美观的牙齿能够绽放出自然灿烂的笑容,让人很自信,对人际交往产生...【详细】
牙齿长得歪怎么办?

【家长咨询】:小孩现在上小学四年级,现在正在换牙,可是换的牙不怎么整齐...【详细】
牙齿长得乱的原因是什么?

现代出现这样一个现象,很多孩子的牙齿都长得很乱,怎么会出现这种现象呢?...【详细】
根管治疗需要扎实的治疗技术做保障

根管治疗是目前能很好保存患牙的治疗方式,与一般的口腔诊疗项目相比,根管...【详细】
暨南大学舞蹈、武术艺术团组赴俄罗斯姐妹大学

9月21日至28日,应俄罗斯姐妹大学邀请,暨南大学学生艺术团及武术队师生组成...【详细】
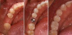
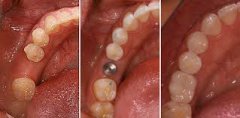
种植牙需要多少钱?

种植牙被称为人类第三幅牙齿,可以代替真牙行使牙齿功能,那么种植牙需要多...【详细】
版权:广州穗华口腔医院
备案号:粤ICP备15046903号
医疗广告审查证明文号:粤(A)广(2025)第1188号